Wichtiger Sicherheitshinweis: Pathorama wurde zwischen dem 26. und 27. Dezember 2025 angegriffen. Falls Sie die Website in diesem Zeitraum besucht haben, lesen Sie bitte die wichtigen Informationen hier:
Zur Information

l/ Hypophysenadenom

Diagnose
Hypophysenadenom
Diagnose Gruppe
benigner Tumor
Differenzialdiagnose
Topographie Gruppe
Endokrinium
Topographie
Hypophyse
Einleitung
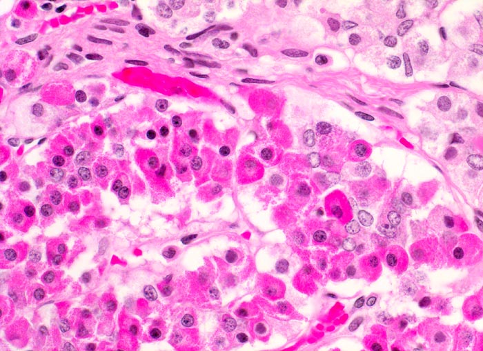
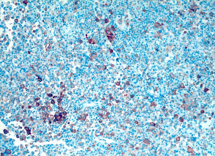
Die Ausstriche sind zellreich und die Zellen sind einzeln, in papillären Verbänden oder Gruppen angeordnet. Zytoplasma ist reichlich vorhanden und ist abhängig vom Typ des Adenoms eosinophil oder basophil. Im Gegensatz zum bunten Zellbild einer normalen Hypophyse wirken die Zellen des Adenoms eher gleichförmig. Die Kerne sind rund und monomorph, das Chromatin ist fein oder Pfeffer und Salz artig. Nukleolen sind meist klein, können aber auch prominent sein. Dignität und funktionelle Eigenschaften sind zytologisch nicht bestimmbar.
Die Differentialdiagnose umfasst Oligodendrogliome und hoch differenzierte Adenokarzinommetastasen.
Unten werden zwei verschiedene Fälle gezeigt.
Klinik
-
Normalbefund
Morphologie
Makroskopie
Virtuelles Präparat
Befund
Pathologischer Befund
Normalbefund
Literatur
Datum
Ersteintrag: 01.04.2003
Update: 01.04.2003