Wichtiger Sicherheitshinweis: Pathorama wurde zwischen dem 26. und 27. Dezember 2025 angegriffen. Falls Sie die Website in diesem Zeitraum besucht haben, lesen Sie bitte die wichtigen Informationen hier:
Zur Information

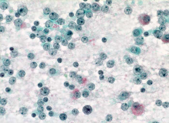
PathoPic – image database / PathoPic ID 5767 - Hypophysenadenom

de
Diagnose
Hypophysenadenom
Diagnose Gruppe
benigner Tumor
Topographie
Hypophyse, Vorderlappen
Topographie Gruppe
Endokrinium
Beschreibung
Feinnadelpunktat der Hypophyse: Diffuse Rasen gleichförmiger Zellen mit unterschiedlich grossen runden Kernen und gut sichtbarem basophilem Nukleolus. Darunter zahlreiche Nacktkerne. Wo erhalten, ist das Zytoplasma teils zyanophil, teils auch rötlich granuliert.
Zusatzbefund
Histologische Diagnose: Hypophysenadenom mit granulär eosinophiler tinktorieller Affinität in ca. 70% der Tumorzellen. An einer Stelle massenhaft Kolloid (wahrscheinlich Inhalt einer grösseren Zyste).
Klinik
Hypophysenadenom, Akromegalie.
Kommentar
Zytologische Diagnose: Massenhaft hypophysäre Zellen, gut vereinbar mit Hypophysenadenom.
Bilder Typ
Zytologie
Vergrösserung
400
Alter
61
Geschlecht
männlich
Datum
Ersteintrag: 03.12.2002
Update: 17.02.2003