Wichtiger Sicherheitshinweis: Pathorama wurde zwischen dem 26. und 27. Dezember 2025 angegriffen. Falls Sie die Website in diesem Zeitraum besucht haben, lesen Sie bitte die wichtigen Informationen hier:
Zur Information

p/ Milchgangpapillom

Diagnose
Milchgangpapillom
Diagnose Gruppe
benigner Tumor
Differenzialdiagnose
Topographie Gruppe
Mamma
Topographie
Mamma
Einleitung
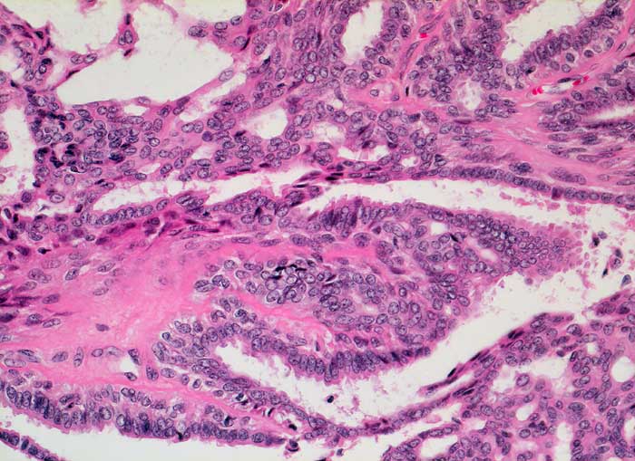
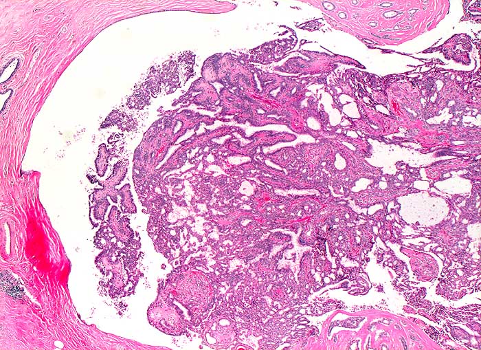
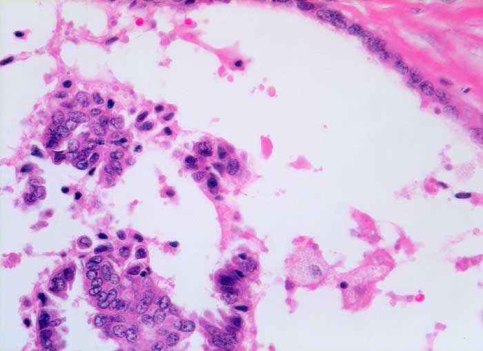
Papilläre Zellverbände oder Zellballen auf zystischem Hintergrund sprechen für eine papilläre Neoplasie. Feinnadelpunktate von papillären Neoplasien sind oft blutig. Gutartige Papillome gleichen zytologisch Fibroadenomen. Geringere oder fehlende Stromakomponente, Zystenbildung, Zellballen, Einblutung und klinische Präsentation in Form einer einseitigen hämorrhagischer Mamillensekretion sprechen für ein Papillom. Sowohl benigne als auch maligne papilläre Neoplasien können ein relativ blandes uniformes Zellbild zeigen. Papilläre Karzinome erscheinen oft monomorpher als gutartige Papillome. Hohe Zellularität, zahlreiche Einzelzellen und die Abwesenheit benigner Zellen (apokrine Zellen, Myoepithelien) sprechen eher für ein papilläres Karzinom. Meist handelt es sich dabei um nicht invasive intraduktale Karzinome.
Klinik
-
Normalbefund
Morphologie
Makroskopie
Virtuelles Präparat
Befund
Pathologischer Befund
Normalbefund
Literatur
Datum
Ersteintrag: 01.04.2003
Update: 01.04.2003