Wichtiger Sicherheitshinweis:
Pathorama wurde zwischen dem
26. und 27. Dezember 2025
angegriffen. Falls Sie die Website in diesem Zeitraum besucht haben, lesen Sie bitte die wichtigen Informationen hier:
Zur Information
Pathopic
HiPaKu
ZyPaKu
Projektinfos
PathoPic - Projekt- und Copyright-Info
About
Pathopic
HiPaKu
ZyPaKu
PathoPic – image database
/
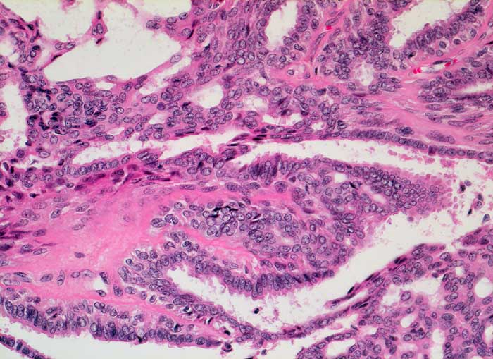
PathoPic ID 5697 - Milchgangspapillom
de
Diagnose
Milchgangspapillom
Diagnose Gruppe
benigner Tumor
Topographie
Mamma
Topographie Gruppe
Mamma
Beschreibung
Papilläre Bindegewebsachsen werden ausgekleidet von einem
zylindrischen Epithel ohne Atypien und einer basalen
Myoepithelschicht.
Klinik
Tastbefund rechts bei 12h, perimamillär mit benignen Schallkriterien. DD: Fibroadenom, Lipom, Fettgewebsnekrose.
Bilder Typ
Histologie
Vergrösserung
200
Alter
37
Geschlecht
unbekannt
Datum
Ersteintrag: 25.11.2002
Update: 17.02.2003
CPS
·
©
2025 Institut für Pathologie Basel
/
Dr. med. Katharina Glatz-Krieger
.
·
v2.2