Wichtiger Sicherheitshinweis: Pathorama wurde zwischen dem 26. und 27. Dezember 2025 angegriffen. Falls Sie die Website in diesem Zeitraum besucht haben, lesen Sie bitte die wichtigen Informationen hier:
Zur Information

p/ Invasives lobuläres Mammakarzinom

Diagnose
Invasives lobuläres Mammakarzinom
Diagnose Gruppe
maligner Tumor
Differenzialdiagnose
Topographie Gruppe
Mamma
Topographie
Mamma
Einleitung
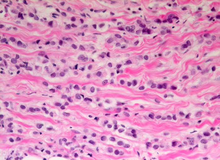
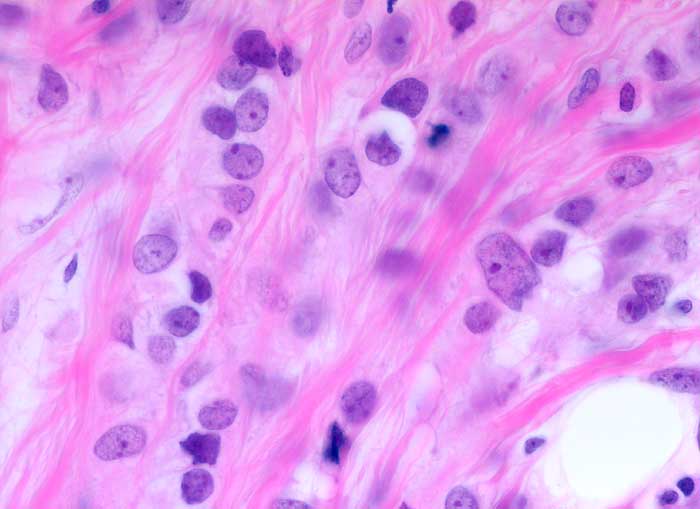
Die Ausstriche der invasiven lobulären Karzinome sind meist zellarm (ausgeprägte Desmoplasie). Die monomorphen Tumorzellen sind kaum grösser als normale duktale Epithelien. Die exzentrisch gelagerten Kerne sind rundlich und nur wenig atypisch. Nukleolen sind selten zu sehen. Das Zytoplasma enthält manchmal eine Vakuole, die den Kern einbuchtet und der Zelle einen Siegelringaspekt verleiht. Bei diesen Zytoplasmaeinschlüssen handelt es sich aber nicht um Schleimvakuolen, sondern um Zisternen. Die Tumorzellen liegen einzeln, in losen Gruppen oder bilden zeilenförmige Verbände („indian files“). Aufgrund des geringen Zellgehaltes und der gering ausgeprägten Zellatypien ist die Diagnose des lobulären Karzinoms am zytologischen Ausstrich schwierig. Invasive Karzinome vom lobulären und duktalen Typ sind zytologisch schwierig zu unterscheiden. Der Tumorsubtyp wird deshalb in der Regel in der Diagnose nicht angegeben.
Klinik
-
Normalbefund
Morphologie
Makroskopie
Virtuelles Präparat
Befund
Pathologischer Befund
Normalbefund
Literatur
Datum
Ersteintrag: 01.04.2003
Update: 01.04.2003