Wichtiger Sicherheitshinweis:
Pathorama wurde zwischen dem
26. und 27. Dezember 2025
angegriffen. Falls Sie die Website in diesem Zeitraum besucht haben, lesen Sie bitte die wichtigen Informationen hier:
Zur Information
Pathopic
HiPaKu
ZyPaKu
Projektinfos
PathoPic - Projekt- und Copyright-Info
About
Pathopic
HiPaKu
ZyPaKu
PathoPic – image database
/
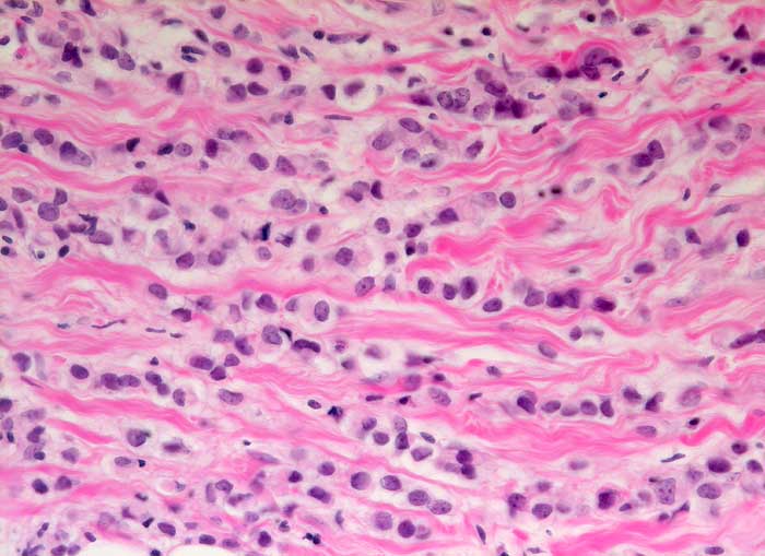
PathoPic ID 5599 - invasiv lobuläres Mammakarzinom
de
Diagnose
invasiv lobuläres Mammakarzinom
Diagnose Gruppe
maligner Tumor
Topographie
Mamma
Topographie Gruppe
Mamma
Beschreibung
Zwischen breiten Bindegewebssträngen liegen die monomorphen kleinen Tumorzellen angeordnet in einreihigen Zellsträngen
Klinik
Verdacht auf Mammakarzinom
Bilder Typ
Histologie
Vergrösserung
320
Alter
50
Geschlecht
unbekannt
Datum
Ersteintrag: 25.12.2002
Update: 12.02.2003
CPS
·
©
2025 Institut für Pathologie Basel
/
Dr. med. Katharina Glatz-Krieger
.
·
v2.2