Wichtiger Sicherheitshinweis: Pathorama wurde zwischen dem 26. und 27. Dezember 2025 angegriffen. Falls Sie die Website in diesem Zeitraum besucht haben, lesen Sie bitte die wichtigen Informationen hier:
Zur Information

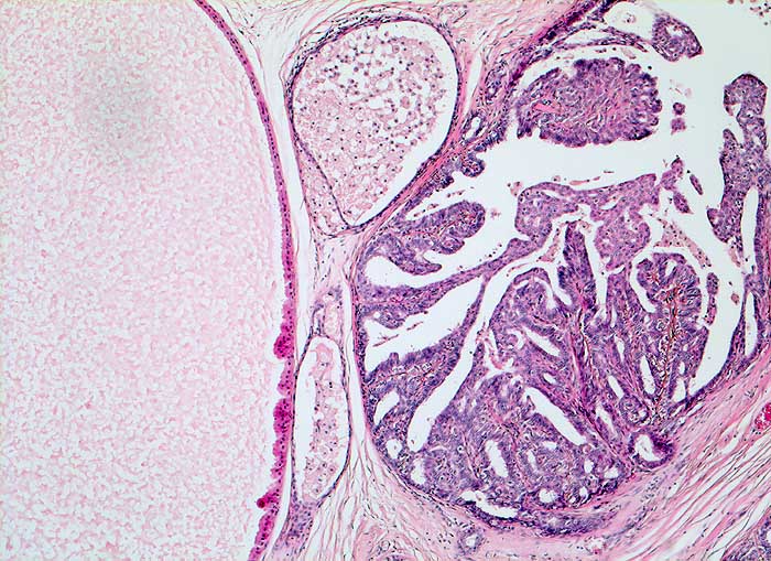
p/ Fibrozystische Mastopathie

Diagnose
Fibrozystische Mastopathie
Diagnose Gruppe
Hyperplasie / Hypertrophie
Differenzialdiagnose
Topographie Gruppe
Mamma
Topographie
Mamma
Einleitung
Entsprechend dem heterogenen histologischen Bild ist auch der zytologische Befund sehr variabel. Bei Überwiegen der Fibrose sind die Ausstriche zellarm, bei Überwiegen der intraduktalen Epithelhyperplasie entsprechend zellreich. Die Ausstriche enthalten in diesem Fall zuweilen verzweigte Verbände duktaler Epithelien, Azinuszellen, apokrine Zellen und bipolare Myoepithelien. Apokrin metaplastische Zellen sind erkennbar an ihrem breiten eosinophil bis zyanophil granulierten Zytoplasma und den grossen, auffallend grob strukturierten Kernen mit prominentem zentralem Nukleolus. Zystenpunktate enthalten Schaumzellen, histiozytäre Riesenzellen, pseudoepitheliale Makrophagenverbände, kernlose Zellschatten von Makrophagen und Detritus. Zusätzlich können neutrophile Granulozyten oder Hämosiderin speichernde Makrophagen vorhanden sein.
Klinik
-
Normalbefund
Morphologie
Makroskopie
Virtuelles Präparat
Befund
Pathologischer Befund
Normalbefund
Literatur
Datum
Ersteintrag: 13.04.2003
Update: 13.04.2003