Wichtiger Sicherheitshinweis: Pathorama wurde zwischen dem 26. und 27. Dezember 2025 angegriffen. Falls Sie die Website in diesem Zeitraum besucht haben, lesen Sie bitte die wichtigen Informationen hier:
Zur Information

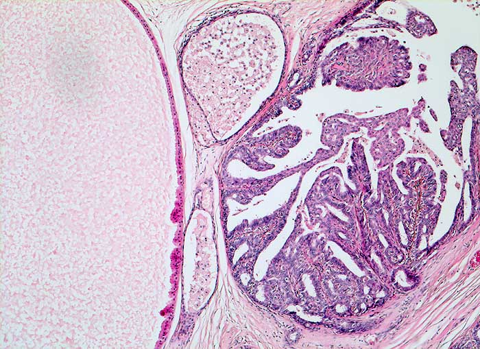
PathoPic – image database / PathoPic ID 5708 - Fibrozystische Mastopathie

de
Diagnose
Fibrozystische Mastopathie
Diagnose Gruppe
benigner Tumor
Topographie
Mamma
Topographie Gruppe
Mamma
Beschreibung
Erweiterter Gang mit apokriner Metaplasie bzw. papillärer intraduktaler Epithelproliferation ohne Atypie. Andere dilatierte Gänge sind gefüllt mit Schaumzellen.
Klinik
V.a. Mammakarzinom
Bilder Typ
Histologie
Vergrösserung
50
Alter
32
Geschlecht
unbekannt
Datum
Ersteintrag: 26.11.2002
Update: 17.02.2003