Wichtiger Sicherheitshinweis: Pathorama wurde zwischen dem 26. und 27. Dezember 2025 angegriffen. Falls Sie die Website in diesem Zeitraum besucht haben, lesen Sie bitte die wichtigen Informationen hier:
Zur Information

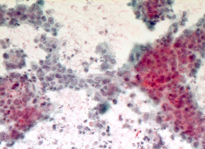
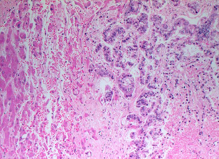
p/ Lebermetastase eines Adenokarzinoms (Magen)

Diagnose
Lebermetastase eines Adenokarzinoms (Magen)
Diagnose Gruppe
maligner Tumor
Differenzialdiagnose
Topographie Gruppe
Leber, Gallenwege, Pankreas
Topographie
Leber
Einleitung
Die Abgrenzung einer Metastase eines wenig differenzierten Adenokarzinoms von einem wenig differenzierten hepatozellulären Karzinom kann schwierig sein. Als wichtige Kriterien für ein HCC gelten monomorphe polygonale Zellen mit zentralen Kernen, Kapillarendothelien und Einschlüsse von Gallepigment. Zur Klärung der Herkunft des Primärtumors können immunzytochemische Untersuchungen weiterhelfen.
Klinik
-
Normalbefund
Morphologie
Makroskopie
Virtuelles Präparat
Befund
Pathologischer Befund
Normalbefund
Literatur
Datum
Ersteintrag: 01.04.2003
Update: 01.04.2003