Wichtiger Sicherheitshinweis:
Pathorama wurde zwischen dem
26. und 27. Dezember 2025
angegriffen. Falls Sie die Website in diesem Zeitraum besucht haben, lesen Sie bitte die wichtigen Informationen hier:
Zur Information
Pathopic
HiPaKu
ZyPaKu
Projektinfos
PathoPic - Projekt- und Copyright-Info
About
Pathopic
HiPaKu
ZyPaKu
PathoPic – image database
/
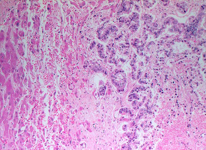
PathoPic ID 5606 - Wenig differenziertes Adenokarzinom: Lebermetastase
de
Diagnose
Wenig differenziertes Adenokarzinom: Lebermetastase
Diagnose Gruppe
maligner Tumor
Topographie
Leber
Topographie Gruppe
Leber, Gallenwege, Pankreas
Beschreibung
Links im Bild das durch die Metastase komprimierte Leberparenchym. Der partiell nekrotische Tumor rechts im Bild bildet drüsige Strukturen.
Klinik
Lebermetastase bei unbekanntem Primärtumor
Bilder Typ
Histologie
Vergrösserung
100
Alter
81
Geschlecht
unbekannt
Datum
Ersteintrag: 25.12.2002
Update: 12.02.2003
CPS
·
©
2025 Institut für Pathologie Basel
/
Dr. med. Katharina Glatz-Krieger
.
·
v2.2