Wichtiger Sicherheitshinweis: Pathorama wurde zwischen dem 26. und 27. Dezember 2025 angegriffen. Falls Sie die Website in diesem Zeitraum besucht haben, lesen Sie bitte die wichtigen Informationen hier:
Zur Information

p/ Mikrofollikuläres Schilddrüsenadenom

Diagnose
Mikrofollikuläres Schilddrüsenadenom
Diagnose Gruppe
benigner Tumor
Differenzialdiagnose
Topographie Gruppe
Endokrinium
Topographie
Schilddrüse
Einleitung
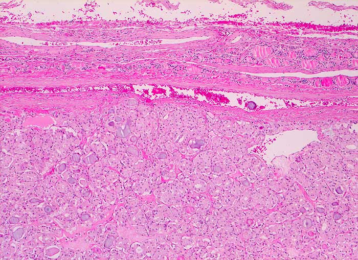
Punktate aus mikrofollikulären oder trabekulären Adenomen sind zellreich und kolloidarm. Die Thyreozyten bilden oft Mikrofollikel oder kleine Rosetten, die eosinophile Kolloidtropfen umschliessen. Die Kerne sind gleichförmig rund, fein granuliert und zeigen keine Atypien. Gelegentlich finden sich regressive Veränderungen. Zytologisch sind follikuläre Adenome und hoch differenzierte follikuläre Karzinome nur schwer zu unterscheiden. Aus diesem Grund werden beide Läsionen mit dem Begriff "follikuläre Neoplasie" bezeichnet. Unten sind zwei Beispiele von mikrofollikulären Adenomen abgebildet.
Klinik
-
Normalbefund
Morphologie
Makroskopie
Virtuelles Präparat
Befund
Pathologischer Befund
Normalbefund
Literatur
Datum
Ersteintrag: 01.04.2003
Update: 01.04.2003