Wichtiger Sicherheitshinweis:
Pathorama wurde zwischen dem
26. und 27. Dezember 2025
angegriffen. Falls Sie die Website in diesem Zeitraum besucht haben, lesen Sie bitte die wichtigen Informationen hier:
Zur Information
Pathopic
HiPaKu
ZyPaKu
Projektinfos
PathoPic - Projekt- und Copyright-Info
About
Pathopic
HiPaKu
ZyPaKu
PathoPic – image database
/
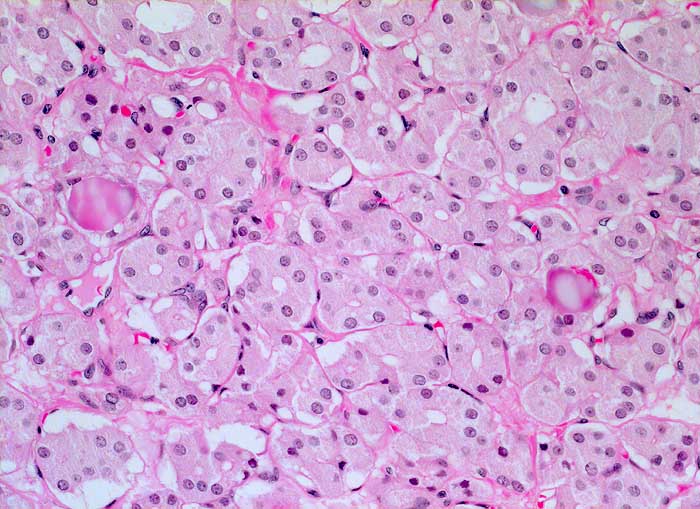
PathoPic ID 6037 - Mikrofollikuläres Schilddrüsenadenom (toxisches Adenom)
de
Diagnose
Mikrofollikuläres Schilddrüsenadenom (toxisches Adenom)
Diagnose Gruppe
benigner Tumor
Topographie
Schilddrüse
Topographie Gruppe
Endokrinium
Beschreibung
Das Adenom besteht aus monomorphen kleinen Follikeln mit hochprismatischem aktiviertem Epithel. Die Follikel enthalten wenig oder gar kein Kolloid.
Zusatzbefund
Makroskopisch solitärer bunter Knoten von 6cm Durchmesser.
Klinik
Toxischer Knoten Schilddrüse rechts.
Kommentar
Zytologisch wurde aufgrund der zahlreichen vorhandenen Epithelien und einzelner Mikrofollikel eine follikuläre Neoplasie diagnostiziert.
Bilder Typ
Histologie
Vergrösserung
200
Alter
46
Geschlecht
männlich
Datum
Ersteintrag: 15.01.2003
Update: 17.02.2003
CPS
·
©
2025 Institut für Pathologie Basel
/
Dr. med. Katharina Glatz-Krieger
.
·
v2.2