Wichtiger Sicherheitshinweis: Pathorama wurde zwischen dem 26. und 27. Dezember 2025 angegriffen. Falls Sie die Website in diesem Zeitraum besucht haben, lesen Sie bitte die wichtigen Informationen hier:
Zur Information

p/ Hashimoto Thyreoiditis

Diagnose
Hashimoto Thyreoiditis
Diagnose Gruppe
Systemerkrankung/Immunpathologie
Differenzialdiagnose
Topographie Gruppe
Endokrinium
Topographie
Schilddrüse
Einleitung
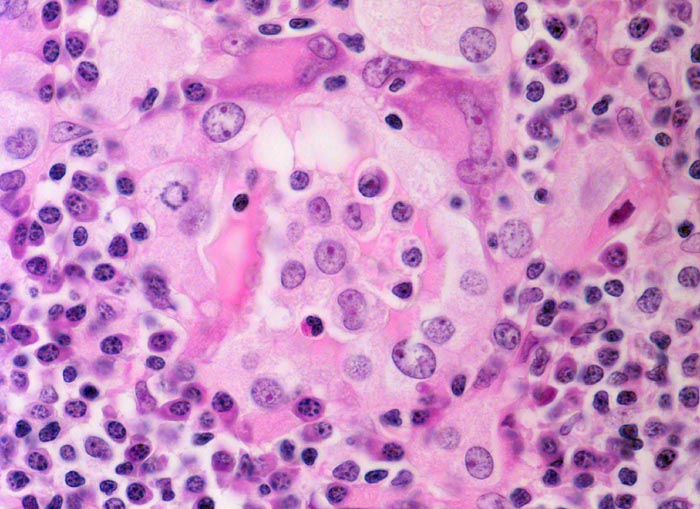
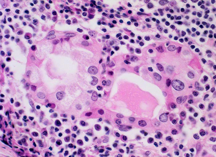
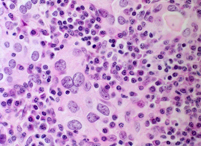
Die zytologische Diagnose einer Hashimoto Thyreoiditis gelingt meist eindeutig. Der Autoimmunprozess ist mit einer chronischen Entzündung verbunden, die zu einer Zerstörung der Schilddrüsenfollikel führt. Das Entzündungsinfiltrat besteht aus Lymphozyten, Plasmazellen, lymphohistiozytären Aggregaten, Sternhimmelmakrophagen und Riesenzellen. Im Hintergrund sind lymphoglanduläre Körperchen zu sehen. Schaumzellen und Makrophagen sind gelegentlich beigemischt. Als Folge der Gewebsdestruktion ist das follikuläre Epithel degeneriert (Kernpyknosen, vakuolisiertes Zytoplasma) oder zeigt eine onkozytäre Metaplasie teilweise mit Atypie. Die Diagnose der Hashimoto Thyreoiditis basiert auf dem Nachweis von chronischer Entzündung und Onkozyten.
Klinik
-
Normalbefund
Morphologie
Makroskopie
Virtuelles Präparat
Befund
Pathologischer Befund
Normalbefund
Literatur
Datum
Ersteintrag: 13.04.2003
Update: 13.04.2003