Wichtiger Sicherheitshinweis: Pathorama wurde zwischen dem 26. und 27. Dezember 2025 angegriffen. Falls Sie die Website in diesem Zeitraum besucht haben, lesen Sie bitte die wichtigen Informationen hier:
Zur Information

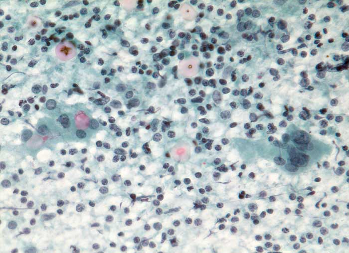
PathoPic – image database / PathoPic ID 6081 - Hashimoto Thyreoiditis

de
Diagnose
Hashimoto Thyreoiditis
Diagnose Gruppe
Systemerkrankung/Immunpathologie
Topographie
Schilddrüse
Topographie Gruppe
Endokrinium
Beschreibung
Frischgewebsabstrich Schilddrüse: Zahlreiche Lymphozyten. Onkozytäre Epithelien mit breitem Zytoplasma bilden Mikrofollikel, die wenig rotes Kolloid enthalten. Mehrkernige Riesenzelle.
Klinik
Entzündliche Struma. Karzinom?
Kommentar
Die Differentialdiagnose gegenüber einem malignen Lymphom kann schwierig sein.
Bilder Typ
Zytologie
Vergrösserung
320
Alter
48
Geschlecht
männlich
Datum
Ersteintrag: 19.01.2003
Update: 17.02.2003