Wichtiger Sicherheitshinweis: Pathorama wurde zwischen dem 26. und 27. Dezember 2025 angegriffen. Falls Sie die Website in diesem Zeitraum besucht haben, lesen Sie bitte die wichtigen Informationen hier:
Zur Information

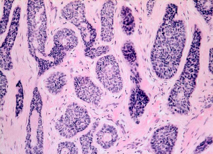
p/ Adenoidzystisches Karzinom der Glandula Parotis

Diagnose
Adenoidzystisches Karzinom der Glandula Parotis
Diagnose Gruppe
maligner Tumor
Differenzialdiagnose
Topographie Gruppe
Oesophagus, Magen
Topographie
Parotis
Einleitung
Das Feinnadelpunktat enthält mucoid glänzendes Material. Das zytologische Bild ist täuschend bland. Die Zellen bilden kohäsive Verbände und Drüsen oder mikrozystische Strukturen. Die Tumorzellen sind klein und monomorph, die Kern-Zytoplasmarelation ist hoch. Die Kerne sind dunkel, rund bis oval oder angulär und enthalten bisweilen einen kleinen Nukleolus. Azelluläre hyaline Globuli von mucoidem Material, welche die Hohlräume der intakt aspirierten kribriformen Strukturen ausfüllen, sind besonders typisch. Hyaline Globuli können aber wie im vorliegenden Fall fehlen und kommen auch in vielen anderen Speicheldrüsentumoren vor. Differentialdiagnostisch muss an ein monomorphes oder pleomorphes Adenom gedacht werden.
Klinik
-
Normalbefund
Morphologie
Makroskopie
Virtuelles Präparat
Befund
Pathologischer Befund
Normalbefund
Literatur
Datum
Ersteintrag: 01.04.2003
Update: 01.04.2003