Wichtiger Sicherheitshinweis: Pathorama wurde zwischen dem 26. und 27. Dezember 2025 angegriffen. Falls Sie die Website in diesem Zeitraum besucht haben, lesen Sie bitte die wichtigen Informationen hier:
Zur Information

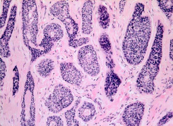
PathoPic – image database / PathoPic ID 5916 - Adenoidzystisches Karzinom

de
Diagnose
Adenoidzystisches Karzinom
Diagnose Gruppe
maligner Tumor
Topographie
Parotis
Topographie Gruppe
Kopf & Hals, Sinnesorgane
Beschreibung
Solide, scharf begrenzte Zellstränge mit dichtgepackten zytoplasmaarmen monomorphen Zellen mit runden oder angulären Kernen. Dichtes Stroma umfliesst die Zellgruppen. Stromainseln liegen auch innerhalb der Zellverbände.
Bilder Typ
Histologie
Vergrösserung
100
Alter
80
Geschlecht
unbekannt
Datum
Ersteintrag: 04.01.2003
Update: 21.12.2007