Wichtiger Sicherheitshinweis: Pathorama wurde zwischen dem 26. und 27. Dezember 2025 angegriffen. Falls Sie die Website in diesem Zeitraum besucht haben, lesen Sie bitte die wichtigen Informationen hier:
Zur Information

n/ Churg Strauss Vaskulitis

Diagnose
Churg Strauss Vaskulitis
Diagnose Gruppe
Entzündung / Reparatur
Differenzialdiagnose
Topographie Gruppe
Lunge, Mediastinum mit Thymus
Topographie
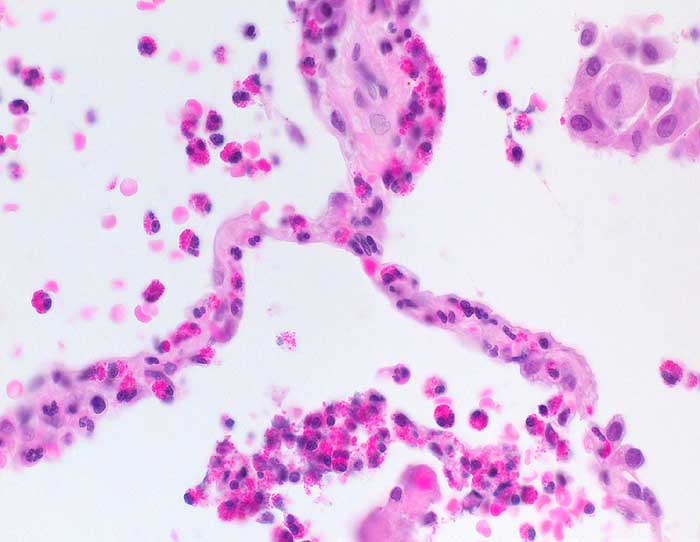
Broncho-alveoläre Lavage
Einleitung
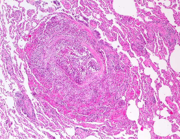
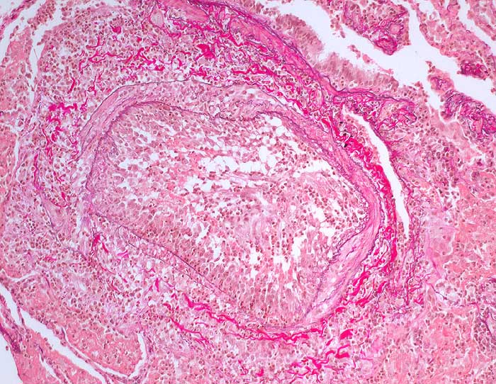
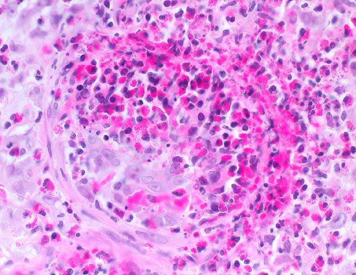
Die zytologischen Veränderungen bei der Churg Strauss Vaskulitis entsprechen den Veränderungen bei allergischem Asthma bronchiale. Im Vordergrund steht eine massive Vermehrung eosinophiler Granulozyten. Histologisch findet sich zusätzlich eine nekrotisierende eosinophile Vaskulitis.
Klinik
-
Normalbefund
Morphologie
Makroskopie
Virtuelles Präparat
Befund
Pathologischer Befund
Normalbefund
Literatur
Datum
Ersteintrag: 01.04.2003
Update: 01.04.2003