Wichtiger Sicherheitshinweis: Pathorama wurde zwischen dem 26. und 27. Dezember 2025 angegriffen. Falls Sie die Website in diesem Zeitraum besucht haben, lesen Sie bitte die wichtigen Informationen hier:
Zur Information

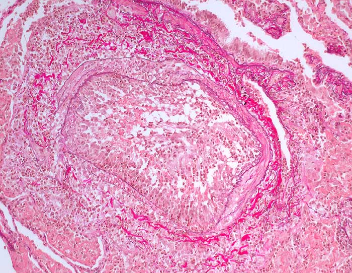
PathoPic – image database / PathoPic ID 6383 - Churg Strauss Vaskulitis

de
Diagnose
Churg Strauss Vaskulitis
Diagnose Gruppe
Systemerkrankung/Immunpathologie
Topographie
Lunge
Topographie Gruppe
Lunge, Mediastinum mit Thymus
Beschreibung
In der EvG Färbung ist die fokale entzündliche Destruktion der Arterienwand gut zu sehen. Sämtliche Schichten der Gefässwand sind dicht entzündlich infiltriert.
Klinik
V.a. Churg-Strauss bei diffuser Lungeninfiltration bds, mehrjährigem Asthma mit aktueller Bluteosinophilie und IgE-Erhöhung. St.n. Therapie mit Leukotrien-Rezeptorantagonisten. Verschlechterung des Asthmas unter Therapie. -> diagnostische Thorakotomie.
Kommentar
Der morphologische Befund ist klassisch für ein Churg-Strauss-Syndrom und passt auch zu der Anamnese eines mehrjährigen Asthmas mit aktueller Bluteosinophilie und IgE-Erhöhung. Der Befund könnte im Zusammenhang stehen mit einer ca. seit drei Monaten bestehenden Therapie mit Leukotrien-Rezeptorantagonisten, welche nach Berichten aus der Literatur ein Churg-Strauss-Syndrom möglicherweise demarkieren können.
Bilder Typ
Histologie
Vergrösserung
100
Alter
45
Geschlecht
männlich
Datum
Ersteintrag: 11.02.2003
Update: 28.03.2003