Wichtiger Sicherheitshinweis: Pathorama wurde zwischen dem 26. und 27. Dezember 2025 angegriffen. Falls Sie die Website in diesem Zeitraum besucht haben, lesen Sie bitte die wichtigen Informationen hier:
Zur Information

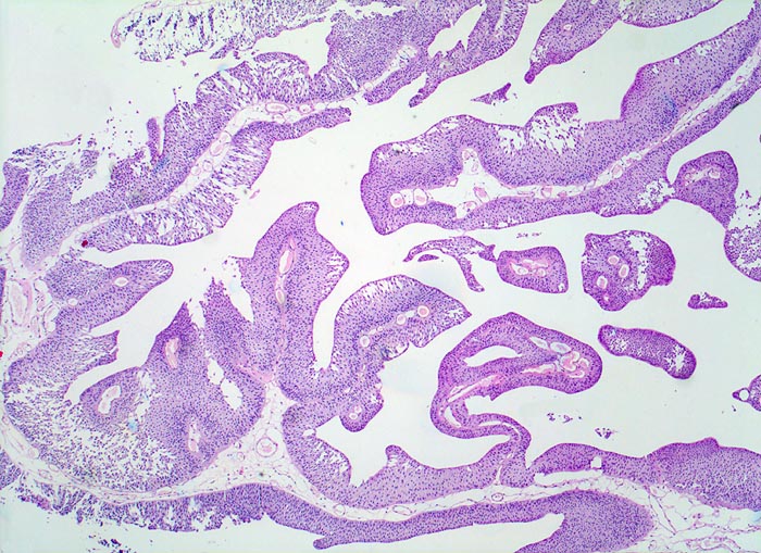
n/ Papilläres Urothelkarzinom pTa, G1 + G2

Diagnose
Papilläres Urothelkarzinom pTa, G1 + G2
Diagnose Gruppe
maligner Tumor
Differenzialdiagnose
Topographie Gruppe
Niere, Harnwege
Topographie
Harnblasenspülflüssigkeit
Einleitung
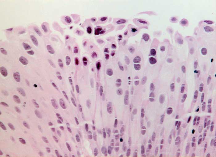
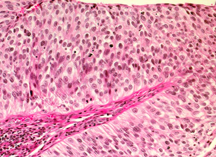
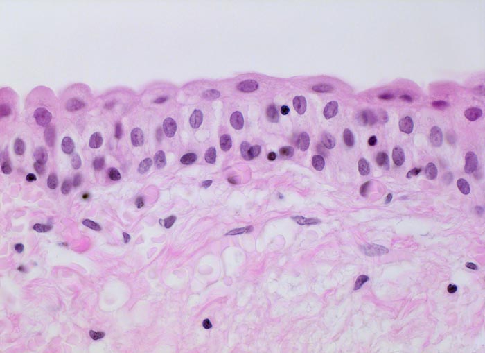
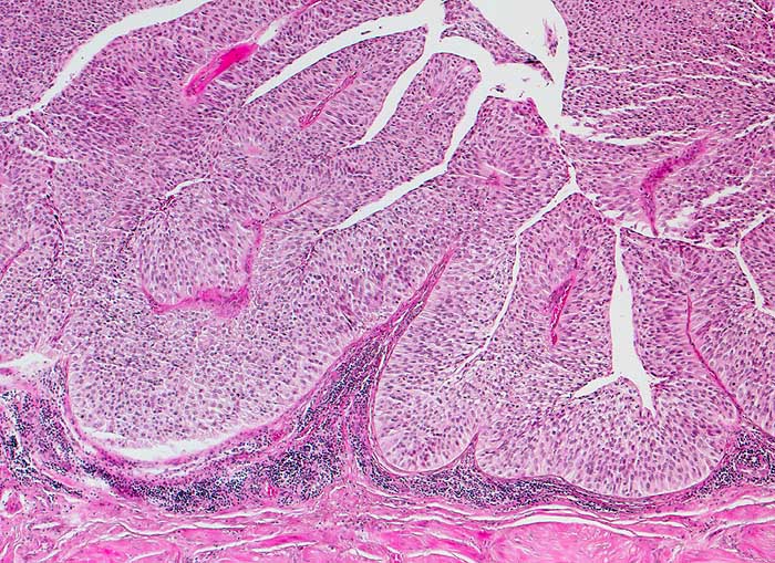
Bei den meisten papillären Urotheltumoren finden sich kleine Büschel von kubischen oder zylindrischen Urothelien. Die Kerne sind leicht vergrössert, oft spindelig und hyperchromatisch. Papilläre Karzinome mit leichter Epitheldysplasie sind aufgrund der sehr geringen Zellatypien in bis zu 50% der Fälle zytologisch nicht diagnostizierbar. Bei mässiger Epitheldysplasie sind die Urothelien polymorpher und hyperchromatischer.
Da die zytologische Untersuchung gerade bei den erfolgreich behandelbaren Tumoren niedrigen Malignitätsgrades in einem grossen Teil der Fälle versagt, ergab sich durch die Einführung der FISH Technik eine deutliche Verbesserung der Sensitivität in der Diagnostik der Urotheltumoren.
Unten werden Beispiele von einem hoch differenzierten und drei mässig differenzierten papillären Karzinomen gezeigt.
Klinik
-
Normalbefund
Morphologie
-
Makroskopie
Virtuelles Präparat
Befund
Pathologischer Befund
Normalbefund
Datum
Ersteintrag: 23.12.2004
Update: 23.12.2004