Wichtiger Sicherheitshinweis: Pathorama wurde zwischen dem 26. und 27. Dezember 2025 angegriffen. Falls Sie die Website in diesem Zeitraum besucht haben, lesen Sie bitte die wichtigen Informationen hier:
Zur Information

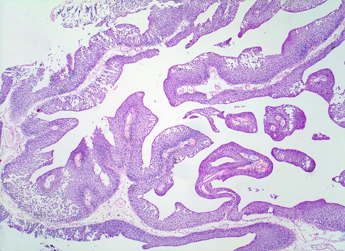
PathoPic – image database / PathoPic ID 5046 - Nicht invasives papilläres Urothelkarzinom pTa

de
Diagnose
Nicht invasives papilläres Urothelkarzinom pTa
Diagnose Gruppe
maligner Tumor
Topographie
Harnblase
Topographie Gruppe
Niere, Harnwege
Beschreibung
Lockeres fibrovaskuläres Stroma wird bedeckt von einem verbreiterten Urothel. Eine durchgehende Basalmembran ist erkennbar. Das Stroma wird nicht infiltriert.
Klinik
Die zystoskopische Abklärung einer Makrohämaturie ergab einen papillären Tumor an der Blasenhinterwand. Der Tumor wird transurethral reseziert.
Kommentar
pTa Tumoren stellen nicht invasive Tumoren dar. Trotzdem werden sie in der WHO Klassifikation als papilläre Karzinome bezeichnet (der Begriff Karzinom sonst ausschliesslich auf invasive epitheliale Tumoren mit metastatischer Potenz angewendet).
Bilder Typ
Histologie
Vergrösserung
25
Alter
53
Geschlecht
männlich
Datum
Ersteintrag: 05.07.2002
Update: 16.04.2009