Wichtiger Sicherheitshinweis: Pathorama wurde zwischen dem 26. und 27. Dezember 2025 angegriffen. Falls Sie die Website in diesem Zeitraum besucht haben, lesen Sie bitte die wichtigen Informationen hier:
Zur Information

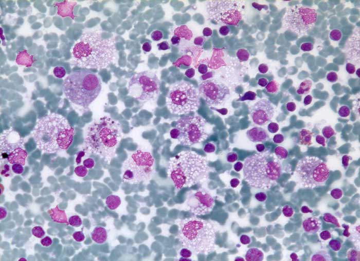
n/ Xanthochromer Pleuraerguss

Diagnose
Xanthochromer Pleuraerguss
Diagnose Gruppe
Entzündung / Reparatur
Differenzialdiagnose
Topographie Gruppe
Körperhöhlen, Serosa
Topographie
Pleurapunktat
Einleitung
Das zytologische Bild nach einem Hämatothorax wechselt im Zeitablauf. Anfänglich findet sich Frischblut. Nach zwei bis drei Tagen beginnen die Erythrozyten zu zerfallen. Die Erythrozyten werden von Makrophagen phagozytiert. Ab dem fünften bis sechsten Tag enthalten die Makrophagen Hämosiderin. Die Kerne der aktivierten Makrophagen können mit Tumorzellen verwechselt werden. Durch den Zerfall der Erythrozyten werden Lipide frei, die unter anderem in Cholesterin umgewandelt werden. Makroskopisch erscheint der Erguss gelb und trüb.
Klinik
-
Normalbefund
Morphologie
Makroskopie
Virtuelles Präparat
Befund
Pathologischer Befund
Normalbefund
Literatur
Datum
Ersteintrag: 01.04.2003
Update: 01.04.2003