Wichtiger Sicherheitshinweis: Pathorama wurde zwischen dem 26. und 27. Dezember 2025 angegriffen. Falls Sie die Website in diesem Zeitraum besucht haben, lesen Sie bitte die wichtigen Informationen hier:
Zur Information

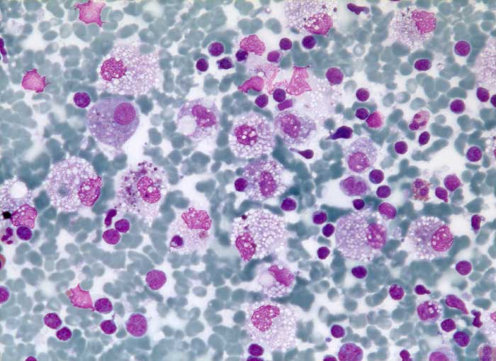
PathoPic – image database / PathoPic ID 5961 - xanthochromer Erguss nach pleuraler Blutung

de
Diagnose
xanthochromer Erguss nach pleuraler Blutung
Diagnose Gruppe
vaskulär / Durchblutungsstörung
Topographie
Pleuraerguss Zytologie
Topographie Gruppe
Körperhöhlen, Serosa
Beschreibung
Pleuraerguss: kleine Lymphozyten und viele vakuolisierte lipdidspeichernde Makrophagen.
Klinik
900ml blutiger Pleuraerguss unter Behandlung eines follikulären Lymphoms
Kommentar
Zytologische Diagnose: Lipidreicher Erguss mit hämosiderinspeichernden Makrophagen. Keine Malignitätszeichen. Zytologisches Bild eines xanthochromen Ergusses, wie er nach pleuralen Blutungen auftritt.
Bilder Typ
Zytologie
Vergrösserung
320
Alter
78
Geschlecht
unbekannt
Datum
Ersteintrag: 06.01.2003
Update: 17.02.2003