Wichtiger Sicherheitshinweis: Pathorama wurde zwischen dem 26. und 27. Dezember 2025 angegriffen. Falls Sie die Website in diesem Zeitraum besucht haben, lesen Sie bitte die wichtigen Informationen hier:
Zur Information

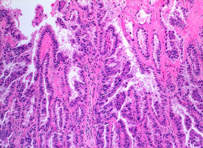
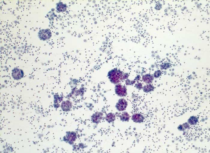
n/ Maligner Pleuraerguss: Adenokarzinom der Lunge

Diagnose
Maligner Pleuraerguss: Adenokarzinom der Lunge
Diagnose Gruppe
maligner Tumor
Differenzialdiagnose
Topographie Gruppe
Lunge, Mediastinum mit Thymus
Topographie
Pleuraerguss Zytologie
Einleitung
Adenokarzinome der Lunge lassen sich von Adenokarzinomen anderer Primärlokalisation zytologisch nicht unterscheiden. Die Zellen sind meist grösser als Mesothelien und die Kernatypien deutlich ausgeprägt. Falls die Lokalisation des Primärtumors nicht bekannt ist, kann eine immunzytochemische Untersuchung mit TTF1, CK7 und CK20 weiterhelfen. Über 70% der Adenokarzinome der Lunge sind TTF1 positiv. Bei TTF1 Positivität der Tumorzellen sollte ein Schilddrüsenkarzinom ausgeschlossen werden. Unten gezeigt werden zwei verschiedene Fälle.
Klinik
-
Normalbefund
Morphologie
Makroskopie
Virtuelles Präparat
Befund
Pathologischer Befund
Normalbefund
Literatur
Datum
Ersteintrag: 01.04.2003
Update: 01.04.2003