Wichtiger Sicherheitshinweis:
Pathorama wurde zwischen dem
26. und 27. Dezember 2025
angegriffen. Falls Sie die Website in diesem Zeitraum besucht haben, lesen Sie bitte die wichtigen Informationen hier:
Zur Information
Pathopic
HiPaKu
ZyPaKu
Projektinfos
PathoPic - Projekt- und Copyright-Info
About
Pathopic
HiPaKu
ZyPaKu
PathoPic – image database
/
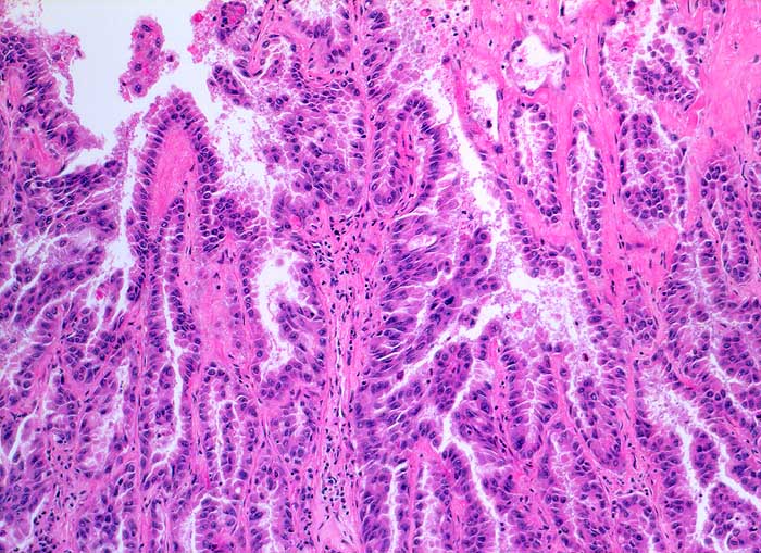
PathoPic ID 5812 - Adenokarzinom der Lunge
de
Diagnose
Adenokarzinom der Lunge
Diagnose Gruppe
maligner Tumor
Topographie
Lunge
Topographie Gruppe
Lunge, Mediastinum mit Thymus
Beschreibung
Papilläre und tubuläre Strukturen ausgekleidet von atypischem hochprismatischem Epithel entsprechend einem hochdifferenzierten Adenokarzinom.
Bilder Typ
Histologie
Vergrösserung
100
Alter
59
Geschlecht
unbekannt
Datum
Ersteintrag: 13.12.2002
Update: 17.02.2003
CPS
·
©
2025 Institut für Pathologie Basel
/
Dr. med. Katharina Glatz-Krieger
.
·
v2.2