Wichtiger Sicherheitshinweis: Pathorama wurde zwischen dem 26. und 27. Dezember 2025 angegriffen. Falls Sie die Website in diesem Zeitraum besucht haben, lesen Sie bitte die wichtigen Informationen hier:
Zur Information

n/ Hepatozelluläres Karzinom

Diagnose
Hepatozelluläres Karzinom
Diagnose Gruppe
maligner Tumor
Differenzialdiagnose
Topographie Gruppe
Leber, Gallenwege, Pankreas
Topographie
Leber
Einleitung
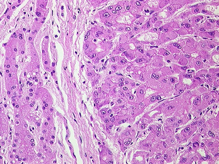
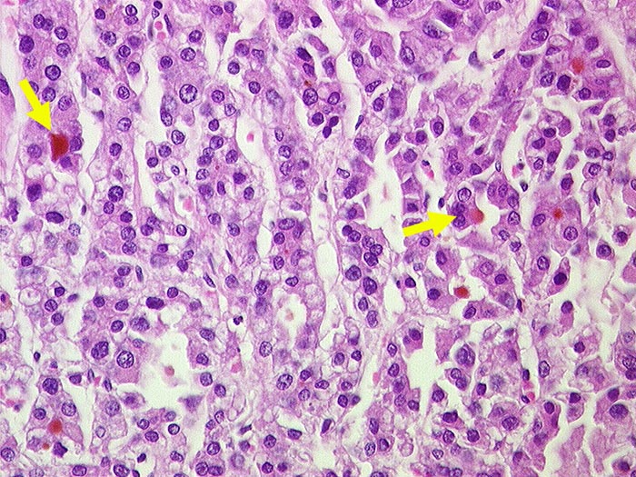
Die Zellen der hoch und mässig differenzierten hepatozellulären Karzinome (HCC) sind polygonal und ähneln normalen Hepatozyten. Die zentral gelegenen Kerne sind rundlich und grob strukturiert. Manchmal enthält das Zytoplasma eosinophile runde Einschlüsse, Glykogen- oder Lipidvakuolen. Lipofuszinpigment oder Eisenpigment sprechen gegen das Vorliegen eines HCC. Der Nachweis von intrazytoplasmatischem oder canaliculärem Gallepigment beweist die hepatozelluläre Differenzierung des Tumors. Das HCC bildet oft arboreszierende Verbände aufgrund seiner trabekulären Struktur. Diese Verbände werden am Rande von Endothelzellen eingefasst. Auch platten- oder rosettenförmige Verbände kommen vor. Der Hintergrund ist oft blutig, reich an Detritus und enthält viele nackte Kerne. Einzeln liegende Tumorzellen sind unabhängig vom Differenzierungsgrad praktisch immer vorhanden.
Klinik
-
Normalbefund
Morphologie
Makroskopie
Virtuelles Präparat
Befund
Pathologischer Befund
Normalbefund
Literatur
Datum
Ersteintrag: 13.04.2003
Update: 13.04.2003