Wichtiger Sicherheitshinweis: Pathorama wurde zwischen dem 26. und 27. Dezember 2025 angegriffen. Falls Sie die Website in diesem Zeitraum besucht haben, lesen Sie bitte die wichtigen Informationen hier:
Zur Information

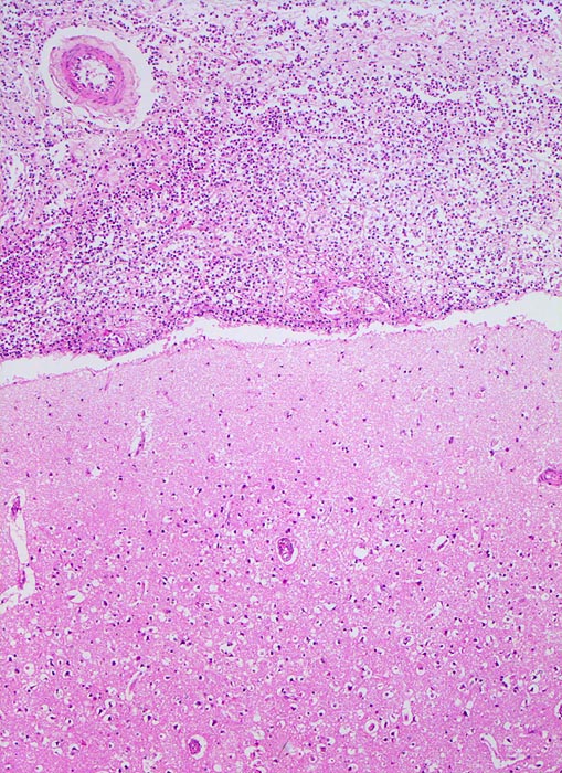
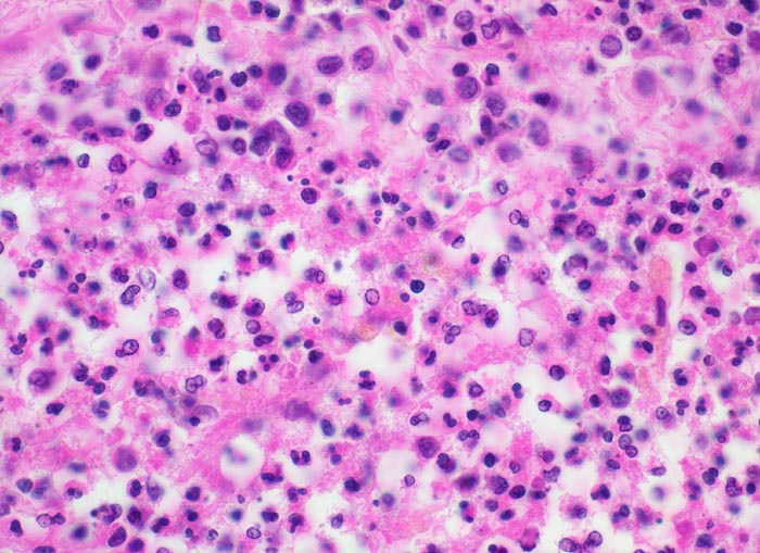
n/ Eitrige Meningitis

Diagnose
Eitrige Meningitis
Diagnose Gruppe
Entzündung infektiös
Differenzialdiagnose
Topographie Gruppe
Nervensystem
Topographie
Meningen
Einleitung
Zytologisch finden sich mehr als 90% neutrophile Granulozyten, ausserdem Fibrin, Makrophagen, degenerierende Zellen, Zelldetritus und manchmal Mikroorganismen. Nach Beginn der Antibiotikatherapie kommt es zu einem raschen Abfall der Zellzahl. Die neutrophilen Granulozyten degenerieren und aktivierte Monozyten beherrschen das Zellbild. Plasmozytoide Lymphozyten und Plasmazellen können dazukommen. In der Reparationsphase verschwinden die Granulozyten, die Anzahl Plasmazellen verringert sich, die Makrophagen sind degeneriert und haben vakuolisiertes Zytoplasma.
Klinik
-
Normalbefund
Morphologie
Makroskopie
Virtuelles Präparat
Befund
Pathologischer Befund
Normalbefund
Literatur
Datum
Ersteintrag: 01.04.2003
Update: 01.04.2003