Wichtiger Sicherheitshinweis: Pathorama wurde zwischen dem 26. und 27. Dezember 2025 angegriffen. Falls Sie die Website in diesem Zeitraum besucht haben, lesen Sie bitte die wichtigen Informationen hier:
Zur Information

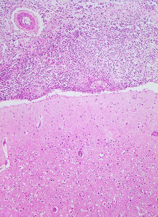
PathoPic – image database / PathoPic ID 5192 - Eitrige Leptomeningitis

de
Diagnose
Eitrige Leptomeningitis
Diagnose Gruppe
Entzündung infektiös
Topographie
Meningen
Topographie Gruppe
Nervensystem
Beschreibung
Über der Grosshirnrinde (unten im Bild) ist der Subarachnoidalraum ausgeweitet und mit Eiter angefüllt.
Zusatzbefund
Bronchopneumonie. Nachweis von Pneumokokken im Abstrich von der Hirnoberfläche und von der Lunge.
Klinik
Kopfschmerzen seit 3 Tagen mit zunehmender Bewusstseinseintrübung, Fieber. Diabetes mellitus. Patientin stirbt kurz nach Spitaleintritt.
Kommentar
Die Ausbreitung bakterieller Meningitiserreger geschieht meist hämatogen. Im vorliegenden Fall war die Pneumonie Ausgangspunkt für die Meningitis. Als weitere Infektionsquellen kommen in Frage Infekte im HNO Bereich (Ausbreitung per continuitatem ausgehend von Sinusitis oder Mastoiditis), neurochirurgische Eingriffe, offene Hirnverletzungen, infizierter ventriculoperitonealer Shunt...
Bilder Typ
Histologie
Vergrösserung
50
Alter
66
Geschlecht
unbekannt
Datum
Ersteintrag: 23.07.2002
Update: 16.03.2003