Wichtiger Sicherheitshinweis: Pathorama wurde zwischen dem 26. und 27. Dezember 2025 angegriffen. Falls Sie die Website in diesem Zeitraum besucht haben, lesen Sie bitte die wichtigen Informationen hier:
Zur Information

n/ Meningeom

Diagnose
Meningeom
Diagnose Gruppe
benigner Tumor
Differenzialdiagnose
Topographie Gruppe
Nervensystem
Topographie
Meningen
Einleitung
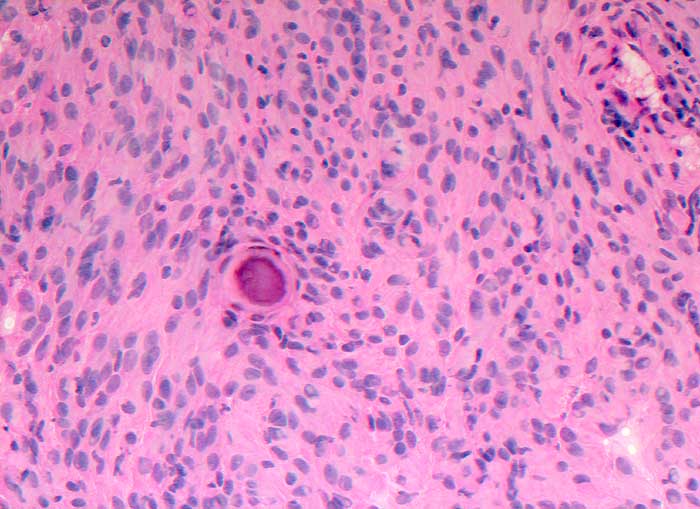
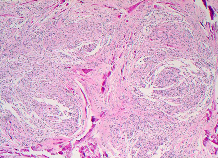
Abstriche und Waschflüssigkeit von Meningeomen sind meist auffallend zellreich. Die Zellen sind in pseudoepithelialen Verbänden gelagert. Charakteristisch sind Psammomkörperchen und zwiebelschalenartig geschichtete meningotheliale Zellkomplexe. Bei bestimmten Meningeomsubtypen sind diese Zellkomplexe jedoch nicht leicht auffindbar. Die Kerne enthalten gelegentlich intranukleäre Vakuolen. Die Zellen anaplastischer Meningeome sind stärker dissoziiert, die Kerne sind hyperchromatisch und pleomorph, Mitosen sind vermehrt.
Klinik
-
Normalbefund
Morphologie
Makroskopie
Virtuelles Präparat
Befund
Pathologischer Befund
Normalbefund
Literatur
Datum
Ersteintrag: 01.04.2003
Update: 01.04.2003