Wichtiger Sicherheitshinweis:
Pathorama wurde zwischen dem
26. und 27. Dezember 2025
angegriffen. Falls Sie die Website in diesem Zeitraum besucht haben, lesen Sie bitte die wichtigen Informationen hier:
Zur Information
Pathopic
HiPaKu
ZyPaKu
Projektinfos
PathoPic - Projekt- und Copyright-Info
About
Pathopic
HiPaKu
ZyPaKu
PathoPic – image database
/
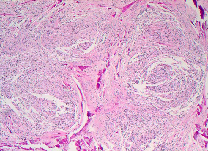
PathoPic ID 5631 - Meningeom
de
Diagnose
Meningeom
Diagnose Gruppe
benigner Tumor
Topographie
Rückenmark
Topographie Gruppe
Nervensystem
Beschreibung
Deutliche Wirbelbildungen und ausgedehnte Verkalkungen
Klinik
Spinaler Tumor Th 12.
Kommentar
Am ehesten handelt es sich um einen transitionalen Typ mit häufigem Nachweis von Wirbelbildungen und Psammomkörperchen.
Bilder Typ
Histologie
Vergrösserung
50
Alter
39
Geschlecht
unbekannt
Datum
Ersteintrag: 26.12.2002
Update: 13.02.2003
CPS
·
©
2025 Institut für Pathologie Basel
/
Dr. med. Katharina Glatz-Krieger
.
·
v2.2