Wichtiger Sicherheitshinweis: Pathorama wurde zwischen dem 26. und 27. Dezember 2025 angegriffen. Falls Sie die Website in diesem Zeitraum besucht haben, lesen Sie bitte die wichtigen Informationen hier:
Zur Information

n/ Ileumconduit

Diagnose
Ileumconduit
Diagnose Gruppe
Entzündung / Reparatur
Differenzialdiagnose
Topographie Gruppe
Darm, Anus
Topographie
Dünndarm
Einleitung
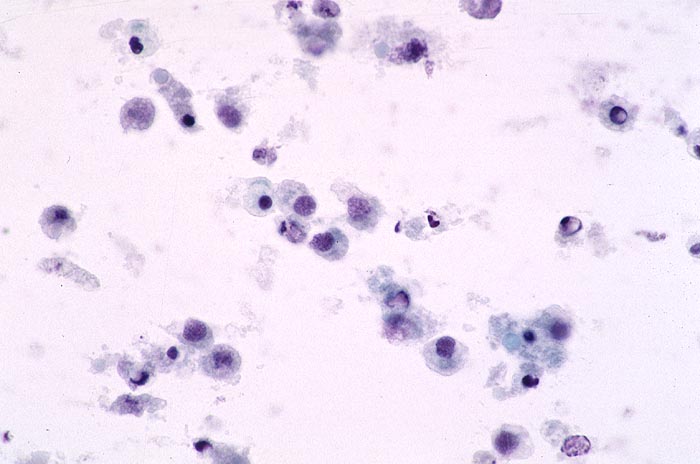
Urin aus der Ersatzblase (in diesem Fall eine Ileumdarmschlinge) ist erkennbar an stark degenerativ veränderten Zylinderepithelien. Die Kerne der Darmepithelien sind pyknotisch, das Zytoplasma gekörnt und die Zellgrenzen lösen sich auf. Zellen von Rezidiv- oder Zweitkarzinomen der oberen Harnwege können sich zwischen den degenerativ veränderten Darmepithelien verstecken und müssen sorgfältig gesucht werden.
Klinik
-
Normalbefund
Morphologie
Makroskopie
Virtuelles Präparat
Befund
Pathologischer Befund
Normalbefund
Literatur
Datum
Ersteintrag: 01.04.2003
Update: 01.04.2003