Wichtiger Sicherheitshinweis:
Pathorama wurde zwischen dem
26. und 27. Dezember 2025
angegriffen. Falls Sie die Website in diesem Zeitraum besucht haben, lesen Sie bitte die wichtigen Informationen hier:
Zur Information
Pathopic
HiPaKu
ZyPaKu
Projektinfos
PathoPic - Projekt- und Copyright-Info
About
Pathopic
HiPaKu
ZyPaKu
PathoPic – image database
/
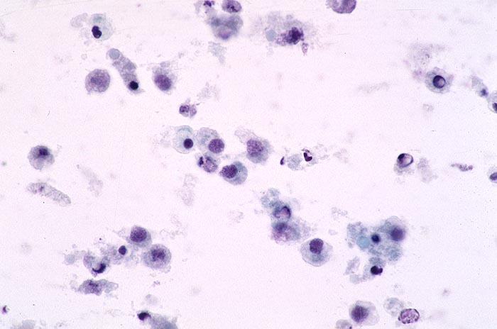
PathoPic ID 3155 - Ileum Conduit, keine Malignitätszeichen
de
Diagnose
Ileum Conduit, keine Malignitätszeichen
Diagnose Gruppe
Normalbefund
Topographie
Urin
Topographie Gruppe
Darm, Anus
Beschreibung
Der Hintergrund ist stark detritisch. Immer wieder erkennt man degenerierte Zylinderepithelzellen.
Klinik
St.n. Totalresektion der Harnblase.
Kommentar
Keine Malignitätszeichen. Befund vereinbar mit Urin aus Ileum Conduit.
Bilder Typ
Zytologie
Alter
70
Geschlecht
männlich
Datum
Ersteintrag: 21.03.2002
CPS
·
©
2025 Institut für Pathologie Basel
/
Dr. med. Katharina Glatz-Krieger
.
·
v2.2