Wichtiger Sicherheitshinweis: Pathorama wurde zwischen dem 26. und 27. Dezember 2025 angegriffen. Falls Sie die Website in diesem Zeitraum besucht haben, lesen Sie bitte die wichtigen Informationen hier:
Zur Information

n/ Carcinoma in situ des Urothels

Diagnose
Carcinoma in situ des Urothels
Diagnose Gruppe
Präneoplasie/ Atypie/ Dignität?
Differenzialdiagnose
Topographie Gruppe
Niere, Harnwege
Topographie
Harnblasenspülflüssigkeit
Einleitung
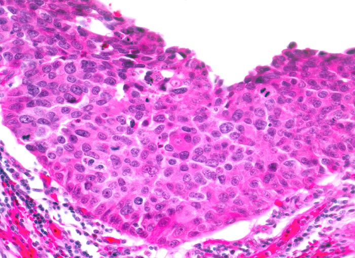
Der Urin ist auffallend zellreich. Die Zellen des Carcinoma in situ sind hochgradig atypisch und liegen einzeln oder in Verbänden von 5 bis 15 Zellen. Die Kerne sind hyperchromatisch und das Chromatin ist stark vergröbert. Die Zellmorphologie entspricht einem Urothelkarzinom Grad 3. Im Gegensatz zum invasiven oftmals ulzerierten Karzinom ist der Hintergrund aber nicht detritisch.
Klinik
-
Normalbefund
Morphologie
Makroskopie
Virtuelles Präparat
Befund
Pathologischer Befund
Normalbefund
Literatur
Datum
Ersteintrag: 01.04.2003
Update: 01.04.2003