Wichtiger Sicherheitshinweis: Pathorama wurde zwischen dem 26. und 27. Dezember 2025 angegriffen. Falls Sie die Website in diesem Zeitraum besucht haben, lesen Sie bitte die wichtigen Informationen hier:
Zur Information

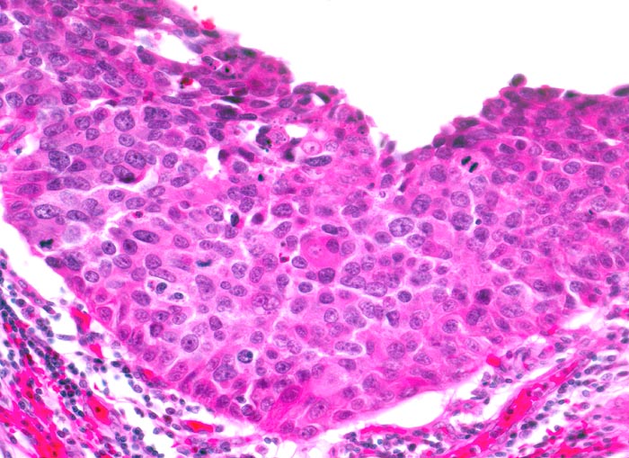
PathoPic – image database / PathoPic ID 3628 - Carcinoma in situ des Urothels

de
Diagnose
Carcinoma in situ des Urothels
Diagnose Gruppe
Präneoplasie/ Atypie/ Dignität?
Topographie
Harnblase
Topographie Gruppe
Niere, Harnwege
Beschreibung
Verbreitertes Urothel. Mässig ausgeprägte Zellkernpolymorphie. Deutliche Vergösserung der hyperchromatischen Kerne mit Verschiebung der Kern-Zytoplasmarelation. Polaritätsverlust. Mitose im obersten Epitheldrittel.
Zusatzbefund
Invasives Plattenepithelkarzinom der Harnblase.
Bilder Typ
Histologie
Vergrösserung
200
Alter
72
Geschlecht
unbekannt
Datum
Ersteintrag: 27.12.2001