Wichtiger Sicherheitshinweis: Pathorama wurde zwischen dem 26. und 27. Dezember 2025 angegriffen. Falls Sie die Website in diesem Zeitraum besucht haben, lesen Sie bitte die wichtigen Informationen hier:
Zur Information

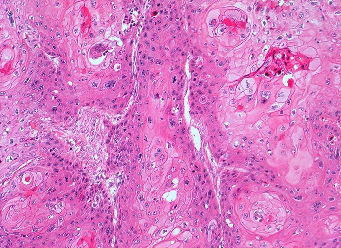
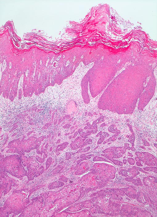
n/ Plattenepithelkarzinom der Harnblase

Diagnose
Plattenepithelkarzinom der Harnblase
Diagnose Gruppe
maligner Tumor
Differenzialdiagnose
Topographie Gruppe
Niere, Harnwege
Topographie
Urin spontan
Einleitung
Der zytologische Befund entspricht dem der Plattenepithelkarzinome an anderen Orten. Allerdings finden sich oft auffallend wenig Tumorzellen, die überdies oft nur geringe Atypien aufweisen.
Klinik
-
Normalbefund
Morphologie
Makroskopie
Virtuelles Präparat
Befund
Pathologischer Befund
Normalbefund
Literatur
Datum
Ersteintrag: 13.04.2003
Update: 13.04.2003