Wichtiger Sicherheitshinweis: Pathorama wurde zwischen dem 26. und 27. Dezember 2025 angegriffen. Falls Sie die Website in diesem Zeitraum besucht haben, lesen Sie bitte die wichtigen Informationen hier:
Zur Information

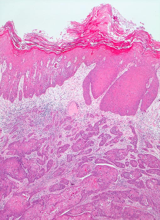
PathoPic – image database / PathoPic ID 3231 - Verhornendes Plattenepithelkarzinom

de
Diagnose
Verhornendes Plattenepithelkarzinom
Diagnose Gruppe
maligner Tumor
Topographie
Harnblase
Topographie Gruppe
Niere, Harnwege
Beschreibung
Die Harnblasenoberfläche wird ausgekleidet durch ein stark verhornendes Plattenepithel mit Atypien. Das darunterliegende Stroma wird infiltriert von plattenepithelial differenzierten Tumorzellsträngen.
Klinik
Paraplegie seit 16 Jahren.
Kommentar
Plattenepithelkarzinome treten als Folge chronischer Entzündungen auf. (Dauerkatheterträger, Zyklophosphamid Langzeittherapie mit Zystitis, Bilharziose).
Bilder Typ
Histologie
Vergrösserung
25
Alter
48
Geschlecht
männlich
Datum
Ersteintrag: 22.03.2002