Wichtiger Sicherheitshinweis: Pathorama wurde zwischen dem 26. und 27. Dezember 2025 angegriffen. Falls Sie die Website in diesem Zeitraum besucht haben, lesen Sie bitte die wichtigen Informationen hier:
Zur Information

g/ Endometriosezyste des Ovars

Diagnose
Endometriosezyste des Ovars
Diagnose Gruppe
Differenzialdiagnose
Topographie Gruppe
Mamma
Topographie
Ovar
Einleitung
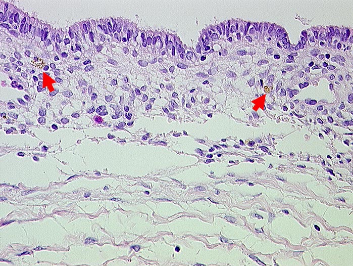
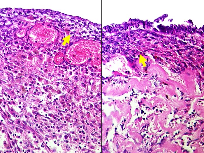
Ausstriche von Endometriosezysten enthalten Hämosiderin-beladene Makrophagen vor einem Hintergrund hämolytischer Erythrozyten. Die auskleidenden Endometriumzellen sind nur selten im Ausstrich nachweisbar und bilden kleine Aggregate. Meist sind die Epithelien stark degeneriert. Die Kerne sind klein, rund und hyperchromatisch, das Zytoplasma ist fein vakuolisiert. Die zytologische Diagnose kann nur gestellt werden, wenn Endometriumzellen nachweisbar sind. Ansonsten ist der Befund bei entsprechender klinischer Verdachtsdiagnose mit einer Endometriosezyste vereinbar. Differentialdiagnostisch kann es sich aber auch um eine eingeblutete funktionelle Zyste oder einen zystischen Tumor handeln.
Klinik
-
Normalbefund
Morphologie
Makroskopie
Virtuelles Präparat
Befund
Pathologischer Befund
Normalbefund
Literatur
Datum
Ersteintrag: 01.04.2003
Update: 01.04.2003