Wichtiger Sicherheitshinweis: Pathorama wurde zwischen dem 26. und 27. Dezember 2025 angegriffen. Falls Sie die Website in diesem Zeitraum besucht haben, lesen Sie bitte die wichtigen Informationen hier:
Zur Information

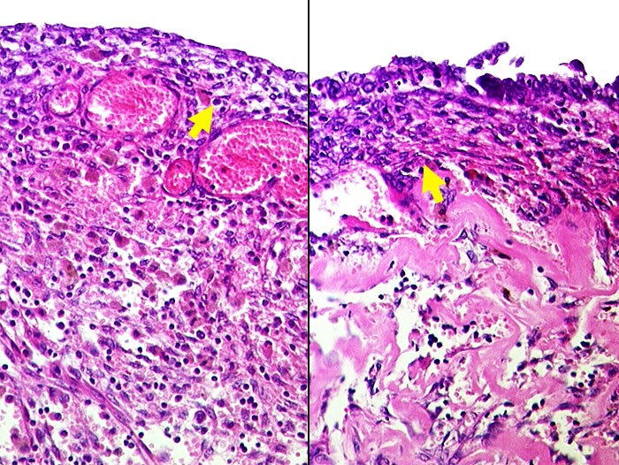
PathoPic – image database / PathoPic ID 996 - Endometriose

de
Diagnose
Endometriose
Diagnose Gruppe
Metaplasie / Heterotopie
Topographie
Ovar
Topographie Gruppe
Genitalorgane, weiblich
Beschreibung
Auskleidung einer Schokoladezyste: links im Bild fehlt das Epithel. Ein schmaler Streifen endometranes Stroma ist sichtbar. Darunter zahlreiche Hämosiderinhaltige Makrophagen. Rechts ist das Epithel erhalten.
Zusatzbefund
Prallelastische Zyste mit 10ml dunkelbrauner Flüssigkeit.
Klinik
Schokoladezyste. V.a. Endometriose.
Bilder Typ
Histologie
Alter
28
Geschlecht
unbekannt
Datum
Ersteintrag: 28.11.2001
Update: 10.08.2010