Wichtiger Sicherheitshinweis: Pathorama wurde zwischen dem 26. und 27. Dezember 2025 angegriffen. Falls Sie die Website in diesem Zeitraum besucht haben, lesen Sie bitte die wichtigen Informationen hier:
Zur Information

Basel 1MA/ Osteosarkom

Diagnose
Osteosarkom
Diagnose Gruppe
maligner Tumor
Topographie Gruppe
Knochen, Knorpel, Gelenke
Topographie
Knochen, Femur
Einleitung
Definition:
Das Osteosarkom ist der häufigste primär maligne Knochentumor. Die Tumorzellen produzieren typischerweise unreifes und gitterförmiges Osteoid.

Lokalisation:
In Abhängigkeit ihrer Lokalisation im Knochen unterscheidet man intramedulläre (deutlich häufiger) und Oberflächen-Osteosarkome (= juxtakortikale Osteosarkome). Bei letztgenannter Gruppe werden parosteale (low-grade), periostale (intermediate-grade) und high-grade Osteosarkome (sog. high-grade surface Osteosarkome) unterschieden. Bei den intramedullären Formen können ebenfalls low- und high-grade Tumoren abgegrenzt werden, wobei die intramedullären high-grade Osteosarkome (= konventionelle Osteosarkome) gesamthaft deutlich überwiegen (>90% der Fälle) und sich die weitere Diskussion auf diesen Tumortyp konzentriert. Betroffen sind überwiegend die Metaphysen der langen Röhrenknochen von Jugendlichen und damit die Wachstumszonen zum Zeitpunkt des stärksten Knochenwachstums. Besonders häufig ist die Knieregion befallen (ca. 50%), anschliessend folgt der proximale Humerus. Ein zweiter Peak findet sich in der 6.-7. Dekade. Sekundäre Osteosarkome können u.a. in Folge einer vorangegangenen Bestrahlung, einer fibrösen Dysplasie oder eines M. Paget auftreten.

Morphologie:
Das histologische Bild kann deutlich variieren. Der Tumor kann beispielsweise nur ganz fokal Osteoid produzieren und ansonsten wie ein undifferenziertes pleomorphes Sarkom aussehen, er kann aber auch massenhaft Knorpelmatrix bilden und/oder Riesenzellen enthalten. Der Nachweis von neoplastischem Osteoid ist entscheidend in der Abgrenzung von anderen Sarkomtypen.

update 5.9.2018
Klinik
Symptomatik:
Die Patienten präsentieren sich i.d.R. mit umschriebenen Schmerzen und einer palpablen Raumforderung. Aufgrund des schnellen Tumorwachstums werden Osteosarkome so gut wie nie in frühen Stadien entdeckt. In etwa 90% der Fälle liegt bereits zum Zeitpunkt der Diagnose eine systemische Ausbreitung der Erkrankung vor. Lungenmetastasen müssen dabei noch nicht zwingend radiologisch nachweisbar sein. Sie entwickeln sich bei alleiniger Resektion aber in der überwiegenden Mehrzahl der Fälle. Dieser Umstand erklärt, warum ein Grossteil der Patienten nur mit Hilfe einer (neo-)adjuvanten Chemotherapie und anschliessender Resektion überlebt. Die Heilungsrate liegt gesamthaft bei 60-70%. Fortgeschritten metastasierte und/oder therapierefraktäre Tumoren haben eine deutlich schlechtere Prognose. Eine Tumornekrose von mehr als 90% nach neoadjuvanter Chemotherapie ist der wichtigste Indikator für eine gute Prognose.

update 5.9.2018
Morphologie
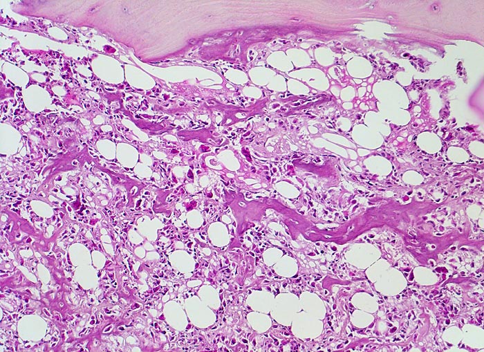
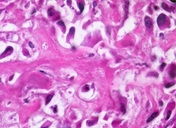
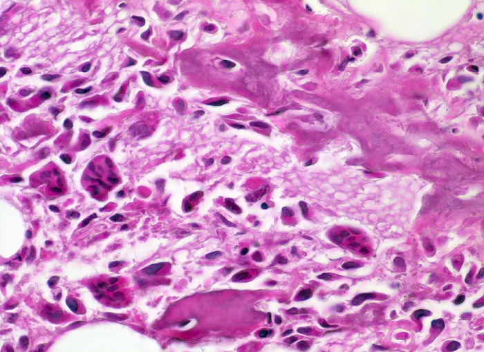
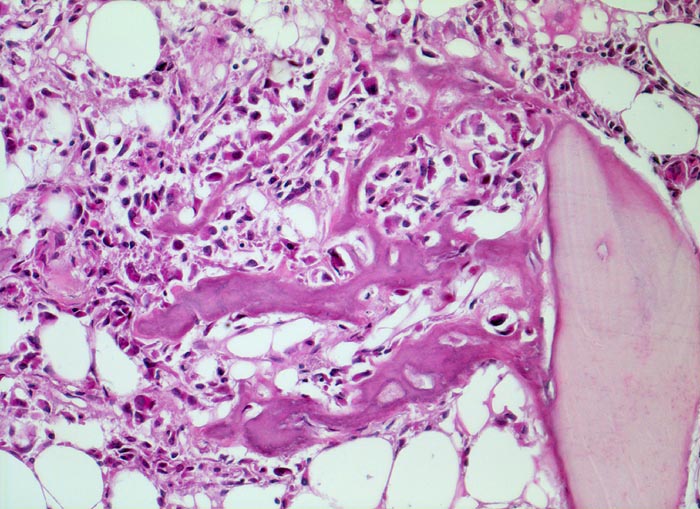
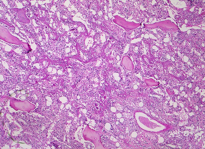
Morphologische Merkmale:
  • Tibiametaphyse mit angrenzendem Weichteilgewebe.
  • Das Sarkom infiltriert diffus den spongiösen Knochen der Diaphyse und hat präexistente Knochenbälkchen verdrängt.
  • Der Tumor hat die Korticalis destruiert und infiltriert die angrenzende Skelettmuskulatur.
  • Der Tumor besteht aus neugebildetem bereits verkalktem Knochen oder einem Netzwerk von primitiven Osteoidtrabekeln. Entlang oder innerhalb der Osteoidtrabekel lokalisierte polymorphe Tumorzellen mit ausgeprägten Kernatypien und zahlreichen Mitosen. Leicht verwaschene Kernstrukturen als Folge der Gewebsentkalkung.
Das sollte der Kliniker dem Pathologen mitteilen:
  • Genaue Lokalisation.
  • Radiologischer Befund.
  • Vorausgegangene Therapie.
  • Hinweise auf sekundäres Osteosarkom.
Praxis-Tipp:
  • Markierung der Resektionsränder (ev. Skizze zur Orientierung).
Makroskopie
Befund
Pathologischer Befund
Normalbefund
Datum
Ersteintrag: 10.07.2019
Update: 10.07.2019