Wichtiger Sicherheitshinweis: Pathorama wurde zwischen dem 26. und 27. Dezember 2025 angegriffen. Falls Sie die Website in diesem Zeitraum besucht haben, lesen Sie bitte die wichtigen Informationen hier:
Zur Information

Basel 1MA/ Akute myeloische Leukämie (AML )

Diagnose
Akute myeloische Leukämie (AML )
Diagnose Gruppe
maligner Tumor
Differenzialdiagnose
Topographie Gruppe
Lymphatische Gewebe, KM, Milz
Topographie
Knochenmark, Beckenkamm
Einleitung
Einteilung:
Die WHO-Klassifikation (2017) berücksichtigt neben morphologischen auch immunologische, zytochemische, zytogenetische und molekulargenetische Befunde für die Einteilung der AML und unterscheidet folgende diagnostische Kategorien: 
·         AML mit wiederkehrenden zytogenetischen Abnormalitäten 
·         AML mit myelodyplasie-verwandten Veränderungen 
·         AML, therapieassoziiert (z.B. Alkylantien, Topoisomerase II Inhibitoren) 
·         AML nicht anderweitig klassifizierbar 
·         Myeloisches Sarkom 
·         Myeloische Proliferationen bei Down-Syndrom      

Morphologie:
Die Grösse von Myeloblasten variiert von wenig grösser als reife Lymphozyten bis grösser als Monozyten. Sie haben reichlich basophiles, oft granuliertes Zytoplasma. Die Kerne sind rund bis oval, enthalten gewöhnlich mehrere Nukleolen. Das Chromatin ist fein. Auer-Stäbchen (=kristalline kondensierte azurophile Granula) sind in einem Teil der AML-Subtypen im Zytoplasma der Blasten nachweisbar (nur zytologisch, nicht in der Knochenmarkhistologie). Sie sind spezifisch für Zellen der myeloischen Reihe. 
 
Anmerkung:
Selten ist eine akute Leukämie aufgrund morphologischer, zytochemischer, genetischer und immunphänotypischer Untersuchungen (Flow Zytometrie) nicht eindeutig als myeloisch oder lymphatisch klassifizierbar (akute undifferenzierte Leukämie) oder es liegt gleichzeitig eine myeloische und lymphatische Differenzierung vor (akute Leukämie mit gemischtem Phänotyp, MPAL). 


update 31. August 2020
Klinik
Vorkommen:
Die weltweite Inzidenz der akuten Leukämie liegt bei 4/100'000 pro Jahr. 70% dieser Fälle betreffen akute myeloische Leukämien. Die AML tritt in allen Altersgruppen auf. Ein Grossteil betrifft aber Erwachsene (mittleres Erkrankungsalter 70 Jahre). Da immer mehr Patienten mit Tumorleiden nach intensiver Chemotherapie oder Knochenmarktransplantation überleben, nehmen therapieassoziierte AML Fälle zu. 
 
Symptomatik:
Die Patienten zeigen Zeichen der Knochenmarkinsuffizienz: Anämie, Leukopenie oder leukozytäre Dysfunktion, Thrombozytopenie und ihre klinischen Folgen (Blutungen). Gelegentlich findet sich eine Leukozytose (Blasten im peripheren Blut). Symptome können auch durch Infiltration von Organen durch leukämische Zellen auftreten. Milz, Leber, Gingiva und Haut sind am häufigsten betroffen. Bei sehr hoher Leukozytenzahl im Blut können die Leukozyten intravasal aggregieren und verklumpen (Leukostase). Dies kann zu Dyspnoe oder Bewusstseinsstörungen führen. Tumorinfiltrate im Knochenmark können Knochenschmerzen verursachen.
 
Diagnostik:
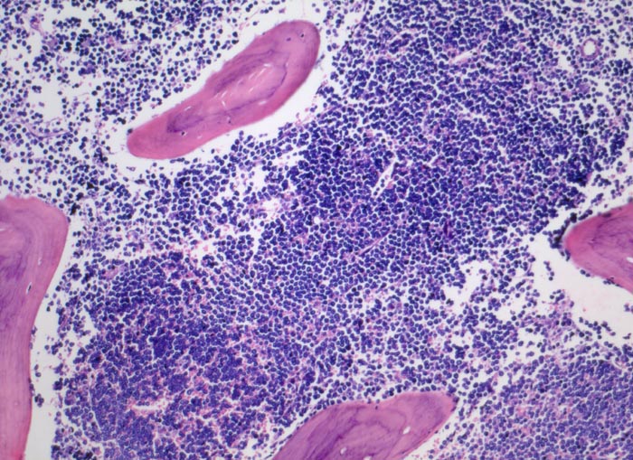
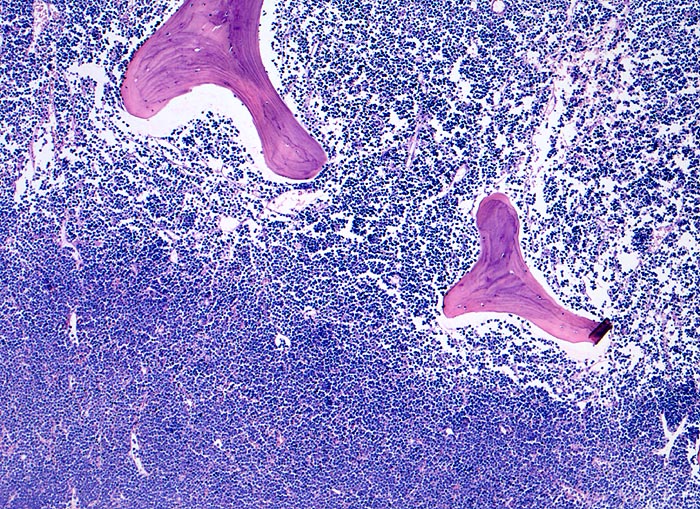
Gemäss der WHO Klassifikation wird eine akute myeloische Leukämie diagnostiziert, wenn der Myeloblastengehalt im Blut oder im Knochenmark mehr als 20% beträgt (eine Ausnahme davon sind einige AML mit rekurrenten genetischen Alterationen; hier wird die Diagnose unabhängig von Blastengehalt gestellt). Für die Klassifikation werden Blutwerte, Knochenmarkaspirationszytologie, Knochenmarkbiopsie (hier abgebildet) mit Immunhistochemie, zytogenetische und molekulargenetische Befunde berücksichtigt. Letztere haben entscheidende prognostische und diagnostische Bedeutung. Die Knochenmarkbiopsie ist notwendig zur Bestimmung der Knochenmarkzellularität vor und nach Therapie, für die Diagnose hypozellulärer akuter Leukämien und für Leukämien mit Myelofibrose. Die Klassifizierung kann nur an Biopsien erfolgen, die vor Therapie entnommen wurden. 
 
Therapie:
Aktuelle Chemotherapieschemata führen nur bei einem Teil der Patienten zur Heilung. Deshalb sollten alle Patienten wenn möglich im Rahmen einer Studie bzw einem spezialisiertem Zentrum behandelt werden. Es werden zunehmend spezifischere und risikoadaptierte Therapien eingesetzt. Die Standardchemotherapie umfasst eine Induktionstherapie und eine Konsolidierungstherapie. Bei jüngeren Patienten bzw Hochrisiko-patienten kommt eine allogene Stammzelltransplantation in Betracht. 
 
update 31. August 2020
Morphologie
Morphologische Merkmale: 
  • Ausgeprägte Hyperzellularität (hypozelluläre AML kommen vor) mit kompletter Verdrängung des blutbildenden Marks und des Fettmarks (packed marrow). 
  • Mittelgrosse Myeloblasten (12-20 Micrometer) mit grossen rundlichen Kernen und unterschiedlich prominenten Nukleolen. 
  • Schmaler agranulärer basophiler Zytoplasmasaum. 
  • Zahlreiche Apoptosen. Das sollte der Kliniker dem Pathologen mitteilen: 
  • Befund der Aspirationszytologie 
  • Blutbild 
  • Zytogenetik 
  • Immunphänotyp 
  • Erstbiopsie oder Verlaufsbiopsie (Therapie) 
  • Anamnese einer Chemotherapie u./o. Radiotherapie 
  • Anamnese eines MDS 


update 30. August 2012
Makroskopie
Befund
Pathologischer Befund
Normalbefund
Datum
Ersteintrag: 10.07.2019
Update: 31.08.2020