Wichtiger Sicherheitshinweis: Pathorama wurde zwischen dem 26. und 27. Dezember 2025 angegriffen. Falls Sie die Website in diesem Zeitraum besucht haben, lesen Sie bitte die wichtigen Informationen hier:
Zur Information

Basel 2BA/ Myokardinfarktnarbe

Diagnose
Myokardinfarktnarbe
Diagnose Gruppe
vaskulär / Durchblutungsstörung
Differenzialdiagnose
  • - Grobfleckige Myokardfibrose
Topographie Gruppe
Kardiovaskuläres System
Topographie
Herz links
Einleitung
Morphologie:
Eine restitutio ad integrum nach abgelaufener Myokardnekrose ist nicht möglich. Wird das Ischämieereignis überlebt, kommt es zu einer reparativen Regeneration mit Ersatz der Muskulatur durch kollagenreiches Narbengewebe. Dieser Vorgang setzt etwa ab dem 9. Tag nach Infarkt ein und dauert bis zur vollständigen narbigen Ausheilung bei transmuralem Infarkt etwa 50 Tage. Makroskopisch imponiert die Narbe als fasriges weisses derbes Areal. Von einem Infarkt spricht man, wenn die Nekroseareale einen Durchmesser von mindestens 3cm Durchmesser haben. Ab dieser Grösse kann klinisch das Bild eines Myokardinfarktes ausgelöst werden. Kleinere, makroskopisch sichtbare Narben werden als grobfleckige Myokardfibrose (> 873) (> 234) bezeichnet.

Komplikationen:
Im Bereich grösserer Narben ist das Myokard verdünnt. Bei 8% der transmuralen Infarkte entsteht im Bereich der Narbe ein Herzwandaneurysma (> 2088) mit oder ohne wandständige Thrombose (> 348). In 5-15% führen die Thromben zu systemischen Embolien. Von der Randzone der Aneurysmen gehen oft hartnäckige ventrikuläre Rhythmusstörungen aus. Grosse Narben führen zu einer Verminderung der Pumpleistung mit Herzinsuffizienz.
Klinik
Diagnostik:
Im EKG kommt es meist zur vollständigen Rückbildung der ST-Strecken-Veränderungen. QRS-Veränderungen persistieren, wobei das Ausmaß ("Tiefe") der Q-Zacke im Verlauf erheblich abnehmen kann.

Prognose:
Etwa 70% der Patienten mit chronischem Herzwandaneurysma sterben innerhalb von 3 Jahren.
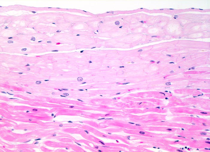
Morphologie
Morphologische Merkmale:
  • Herdförmiger Ersatz der Muskulatur durch zellarme rote Kollagenfaserbündel.
  • Hypertrophiezeichen der Herzmuskulatur im Randbereich der Narbenareale (verdickte Herzmuskelzellen mit vergrösserten hyperchromatischen Kernen).
  • Im untersten Biopsiefragment sind die Narbenareale bandförmig subendokardial verteilt. Zwischen Narbengewebe und Endokard findet sich eine schmale Schicht erhaltener Muskelzellen (Ernährung dieser Zellen per Diffusion direkt aus dem Herzblut).
Das sollte der Kliniker dem Pathologen mitteilen:
  • Abgelaufener Myokardinfarkt (Zeitpunkt).
Makroskopie
Befund
Pathologischer Befund
Normalbefund
Datum
Ersteintrag: 10.07.2019
Update: 10.07.2019