Wichtiger Sicherheitshinweis: Pathorama wurde zwischen dem 26. und 27. Dezember 2025 angegriffen. Falls Sie die Website in diesem Zeitraum besucht haben, lesen Sie bitte die wichtigen Informationen hier:
Zur Information

Basel 2BA/ Psoriasis

Diagnose
Psoriasis
Diagnose Gruppe
Entzündung / Reparatur
Differenzialdiagnose
  • Lichen simplex chronicus
  • Seborrhoische Dermatitis
  • Ekzem...
Topographie Gruppe
Haut
Topographie
Haut, untere Extremität
Einleitung
Definition:
Die Psoriasis ("Schuppenflechte") ist eine gutartige entzündliche Dermatose. Genetische Disposition und vielfältige exogene (z.B. mechanischer Reiz) oder endogene (z.B. Infekte) Faktoren beeinflussen den chronisch schubweisen Verlauf.

Morphologie:
Primäreffloreszenz der Psoriasis ist initial eine Papel, die in eine erythematöse Plaque unterschiedlicher Grösse mit nachfolgender silbriger Schuppung übergehen kann. Kratzt man mit einem Holzspatel an einem Herd, so lassen sich die weißlichen Schuppen leicht ablösen. Da diese Erscheinung an das Abkratzen eines Wachsfleckes erinnert, nennt man sie Kerzenfleck- oder Kerzenwachs-Phänomen. Trägt man die gesamte Schuppenschicht des Herdes ab, so tritt die darunter liegende Basalmembran (unterste Hautschicht) als feines rotes Häutchen zu Tage. Man spricht auch vom Phänomen des letzten Häutchens. Da die Kapillargefäße bis dicht an diese Basalmembran reichen, kommt es nach Entfernen der Schuppen leicht zu kleinen punktförmigen Blutungen. Diese Erscheinung wird Phänomen des blutigen Taus oder - nach dem Erstbeschreiber - auch Auspitz-Phänomen genannt.
Die klassischen histologischen Befunde finden sich am deutlichsten in frühen schuppenden Papeln sowie nahe am Rand wachsender erythematosquamöser Plaques. Die behandelte Psoriasis ist histologisch hingegen schwer von anderen Dermatosen abgrenzbar.
Klinik
Vorkommen:
Die Psoriasis vulgaris ist eine der häufigsten entzündlichen Hauterkrankungen mit einer Prävalenz von 1-3% der Bevölkerung jeden Alters.

Klinische Befunde:
Die Psoriasis vulgaris als häufigste Form der Psoriasis ist durch die typischen scharf begrenzten, rot-entzündlichen Herde mit silbrig-weißer Schuppung charakterisiert. Je nach Lokalisation und Ausprägung der Veränderungen werden Varianten der Erkrankung unterschieden. Die verschiedenen, eher selten auftretenden Formen der Psoriasis werden anhand Ihres Aussehens unterschieden. Dazu zählt auch die hier abgebildete Psoriasis guttata.
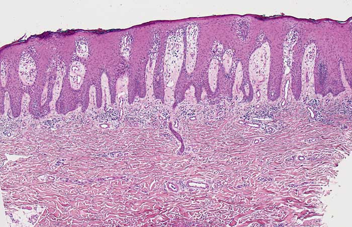
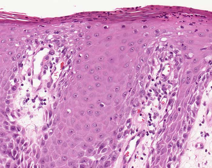
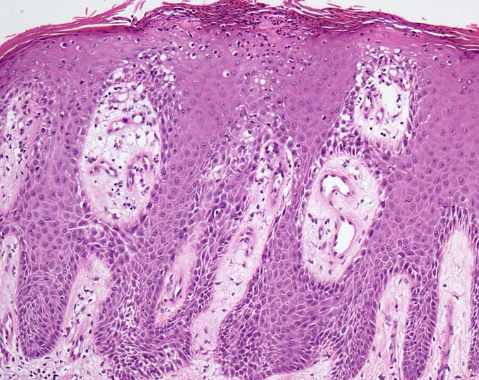
Morphologie
Morphologische Merkmale:
  • Hyperparakeratotische Verhornung der Epidermis (verdickte, kernhaltige Hornschicht)
  • Ausgedünntes oder fehlendes Stratum granulosum
  • Psoriasiforme Epithelhyperplasie: Gleichmässige Akanthose mit verlängerten epidermalen Reteleisten, die zur Basis verbreitert sind und hochgezogene dermale Papillen.
  • Munro-Mikroabszesse (Ansammlung neutrophiler Granulozyten in der Hornschicht und subkorneal)
  • Verschmälerung der suprapapillären Epidermis
  • Dilatierte gewundene Kapillaren im Bereich der papillären Dermis
  • Papillenödem
  • Oberflächlich perivaskuläres lymphozytäres Entzündungsinfiltrat
Das sollte der Kliniker dem Pathologen mitteilen:
  • Klinische Verdachtsdiagnose
  • Verteilung und Aussehen der Läsionen
  • Welche Stellen biopsiert wurden

update 2. September 2015
Makroskopie
Virtuelles Präparat
Befund
Pathologischer Befund
Normalbefund
Datum
Ersteintrag: 17.11.2018
Update: 17.11.2018