Wichtiger Sicherheitshinweis: Pathorama wurde zwischen dem 26. und 27. Dezember 2025 angegriffen. Falls Sie die Website in diesem Zeitraum besucht haben, lesen Sie bitte die wichtigen Informationen hier:
Zur Information

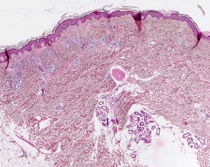
PathoPic – image database / PathoPic ID 7038 - normale Felderhaut vom Oberschenkel

de
Diagnose
normale Felderhaut vom Oberschenkel
Diagnose Gruppe
Normalbefund
Topographie
Haut, untere Extremität
Topographie Gruppe
Haut
Beschreibung
Das Korium der Oberschenkelhaut ist etwas dünner als das Korium der Rückenhaut. Haare sind nicht sehr zahlreich und reichen nicht sehr tief. In diesem Anschnitt ist lediglich ein Musculus arrector pili sichtbar, der auf die Anwesenheit eines Haarfollikels hindeutet.
Bilder Typ
Histologie
Vergrösserung
25
Alter
44
Geschlecht
männlich
Datum
Ersteintrag: 04.12.2003
Update: 09.12.2003