Wichtiger Sicherheitshinweis: Pathorama wurde zwischen dem 26. und 27. Dezember 2025 angegriffen. Falls Sie die Website in diesem Zeitraum besucht haben, lesen Sie bitte die wichtigen Informationen hier:
Zur Information

Staats/ Senile Demenz vom Alzheimer Typ

Diagnose
Senile Demenz vom Alzheimer Typ
Diagnose Gruppe
organspezifische Erkrankung
Differenzialdiagnose
Topographie Gruppe
Nervensystem
Topographie
Hirn temporal
Einleitung
Vorkommen:
Die Alzheimer Demenz ist die häufigste neurodegenerativ bedingte Demenzform. Während die Reinform der vaskulären Demenz seltener ist als früher angenommen, finden sich oft Mischformen von Alzheimer Demenz und vaskulärer Demenz. Die häufigsten Vertreter der sogenannten "Nicht-Alzheimer" Demenzen sind die Demenz mit Lewy-Körper, die Silberkorndemenz und die Gruppe der frontotemporalen Degeneration (frontotemporale Demenz, primär progressive Aphasie, semantische Demenz).

Aetiologie:
Die meisten Fälle der Alzheimer Demenz sind sporadischer Natur, weniger als 5% sind familiär, d.h. monogen vererbt. Ein genetischer Risikofaktor ist das Epsilon 4 Allel des Apolipoprotein E vor allem in homozygoter aber auch in heterozygoter Form.

Morphologie:
Gehirne von Alzheimer Patienten sind makroskopisch durch eine kortikale Atrophie (vor allem temporo-parietal) charakterisiert. Weiter findet sich meist eine deutliche Atrophie von Hippocampi und Mandelkernen. Diese geht einher mit einem Hydrocephalus internus (e vacuo), wobei vor allem die Temporalhörner der Seitenventrikel betroffen sind.
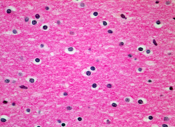
Die wichtigsten mikroskopischen Veränderungen sind die senilen Plaques und die Alzheimer Fibrillenveränderungen. Wesentlicher Bestandteil der senilen Plaques ist das A-beta Peptid, ein Spaltprodukt des Amyloidvorläuferproteins. Immunhistochemisch lassen sich verschiedene Plaqueformen unterscheiden, wobei der Nachweis von neuritischen Plaques entscheidend ist. Neuritische Plaques bestehen aus einem zentralen Amyloidkern, der von dystrophen neuritischen Fortsätzen umgeben ist. In der Umgebung der Plaques findet sich meist eine Mikrogliaproliferation und –aktivierung. Es besteht keine gute Korrelation zwischen der Plaquedichte im Kortex und dem Grad der klinisch erkennbaren Demenz. Die Alzheimerfibrillen (=Tangles) sind intraneuronale Einschlüsse, die aus Aggregaten des Mikrotubulus-assoziierten Proteins Tau in hyperphosphorylierter Form bestehen. Ausserdem finden sich Tau-Ablagerungen in Neuriten (=Neuropilfäden=neuropil threads). Im Gegensatz zu den Plaques korrelieren Dichte und Verteilungsmuster von Alzheimerfibrillen und Neuropilfäden wesentlich besser mit dem klinischen Schweregrad der neuropsychologischen Beeinträchtigung. Das Auftreten und das Verteilungsmuster von Alzheimerfibrillen und Neuropilfäden verläuft nach einem stereotypen Muster, das für die Stadieneinteilung I bis VI nach Braak benutzt wird. Braak unterscheidet ein entorhinales Stadium (I/II), ein limbisches Stadium (III/IV) und ein neokortikales Stadium (V/VI). Beim Nachweis von zahlreichen neuritischen Plaques und Neurofibrillenveränderungen entsprechend einem Braak Stadium V oder VI besteht eine hohe Wahrscheinlichkeit, dass die Demenz durch Morbus Alzheimer verursacht wurde. Die Fibrillenveränderungen lassen sich in der Gallyas-Färbung besonders gut darstellen (Versilberung).
Klinik
Vorkommen:
Die Prävalenz der Alzheimer Demenz steigt im Alter zwischen 60 und 90 Jahren exponentiell an. Rund ein Drittel der 95-jährigen sind von der Alzheimer Demenz betroffen.

Symptomatik:
Ein dementielles Syndrom liegt dann vor, wenn Gedächtnisstörungen und intellektuelle Einbussen zu einer erheblichen Beeinträchtigung der sozialen Kompetenz und der Alltagsfähigkeiten geführt haben, wenn ein progredienter Verlauf zu beschreiben ist und wenn Defizite in mindestens zwei verschiedenen Bereichen der Kognition festzustellen sind. Die Kognition umfasst Gedächtnis, Merkfähigkeit, Sprache, visuell-konstruktive Fähigkeiten und exekutive Funktionen.

Diagnostik:
Die definitive Diagnose einer Alzheimer Demenz kann nur nach autoptischer neuropathologischer Untersuchung am Hirngewebe gestellt werden. 90% der in Zentren mit gut geschulter Gedächtnissprechstunde diagnostizierten Alzheimerdemenzen werden autoptisch bestätigt.

Verlauf:
Die Erkrankung dauert zwischen Symptombeginn und Versterben des Patienten durchschnittlich 7-9 Jahre. Der eigentliche Beginn der neurodegenerativen Prozesse (Ablagerung von Plaques und Neurofibrillenveränderungen) liegt wahrscheinlich 15 bis 30 Jahre vor Erstmanifestation der kognitiven Störungen.

Therapie:
Die symptomatische Therapie umfasst Verhaltenstherapie und den Einsatz von Acetylcholinesterasehemmern. Wichtig ist das Erkennen und die Behandlung einer bei Alzheimerpatienten gehäuft auftretenden Depression und das Vermeiden von zentral anticholinergisch wirkenden Medikamenten. Neuere Medikamente mit unterschiedlichen Wirkmechanismen sind in Entwicklung (z.B. Sekretasehemmer).
Normalbefund
Morphologie
Morphologische Merkmale:
  • Schneckenförmiger Hippocampus.
  • Methenaminfärbung: Zahlreiche neuritische Plaques im Gyrus parahippocampalis und in der CA1 Region.
  • Gallyasfärbung: Intraneuronale Alzheimerfibrillen (=Tangles) und zahlreiche Neuropilfäden (=Threads). Neuritische Plaques.
  • Abblassung eines Teils der Tangles nach Absterben der Neurone.
Das sollte der Kliniker dem Pathologen mitteilen:
  • Alzheimerverdacht.
Makroskopie
Befund
Pathologischer Befund
Normalbefund
Datum
Ersteintrag: 14.01.2010
Update: 14.01.2010