Wichtiger Sicherheitshinweis: Pathorama wurde zwischen dem 26. und 27. Dezember 2025 angegriffen. Falls Sie die Website in diesem Zeitraum besucht haben, lesen Sie bitte die wichtigen Informationen hier:
Zur Information

Staats/ Chronische lymphozytäre Thyreoiditis Hashimoto

Diagnose
Chronische lymphozytäre Thyreoiditis Hashimoto
Diagnose Gruppe
Systemerkrankung/Immunpathologie
Differenzialdiagnose
Topographie Gruppe
Endokrinium
Topographie
Schilddrüse
Einleitung
Aetiologie:
 Die chronische lymphozytäre Thyreoiditis Hashimoto ist Teil eines Spektrums von Autoimmun-Erkrankungen der Schilddrüse. Die Follikelepithelien werden zerstört durch eine Hypersensitivitätsreaktion Typ 2 (zytotoxische Reaktion). 

Morphologie:
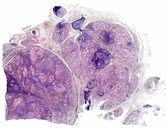
 Die Schilddrüse ist bei der Hashimoto-Thyreoiditis meist symmetrisch vergrößert und zeigt eine grau-gelblich und leicht knotige Schnittfläche. Mikroskopisch zeigt das Parenchym eine diffuse Infiltration durch Lymphozyten und Plasmazellen, mit oder ohne Keimzentren. Die Schilddrüsenfollikel sind klein, das Kolloid ist reduziert und das Follikelepithel atrophiert. Charakteristisch ist eine fokal ausgebildete oxyphile (syn. onkozytäre) Epithelmetaplasie Gelegentlich sind intrafollikuläre Makrophagen mit Riesenzellbildung und eine geringe Fibrosierung sichtbar. Bei einer ausgedehnten keloidähnlichen Fibrosierung handelt es sich um die fibröse Variante einer Hashimoto-Thyreoiditis, die in etwa 10% aller chronischen lymphozytären Thyreoiditiden vorkommt. Ein dominanter oder rasch wachsender Knoten und/oder eine rasche Grössenzunahme der Schilddrüse sollten zum Ausschluss eines Schilddrüsenkarzinoms bzw. malignen Lymphoms mittels Feinnadelaspirationszytologie abgeklärt werden. 
Klinik
Vorkommen:
 In Gegenden mit adäquater Jodaufnahme stellt die Hashimoto-Thyreoiditis die häufigste Ursache einer Hypothyreose dar. Die Inzidenz beträgt 30-150 Fälle pro 100'000 Einwohner pro Jahr. Die Prävalenz liegt bei 0.8%. Die Patienten sind zwischen 30 bis 50 Jahre alt, wobei die Krankheit bei Männern 10 bis 15 Jahre später auftritt. Frauen sind 10 bis 15 mal häufiger betroffen. 

Symptomatik:
 Die Symptome der Hypothyreose beginnen meist unmerklich und sind über Monate bis Jahre progredient. Symptome einer transienten Hyperthyreose durch Ausschüttung von T4 und T3 aus zerstörten Follikelepithelien sind selten zu erheben. Die Symptome der Hypothyreose sind oftmals subklinisch oder diskret. Am häufigsten wird über Müdigkeit, Obstipation, trockene Haut, Gewichtszunahme oder depressive Verstimmungen geklagt. Da eine Hypothyreose mit Hormonsubstitution therapierbar ist, sollte bei Vorliegen eines dieser Symptome immer auch an die Möglichkeit einer bei älteren Patienten nicht seltenen Hypothyreose gedacht werden. Zahlreiche andere Autoimmunkrankheiten können mit einer Hashimoto Thyreoiditis assoziiert sein wie ein Morbus Basedow (> 3796), ein Morbus Addison, eine perniziöse Anämie, eine primäre biliäre Zirrhose, ein Diabetes mellitus Typ I u.a. Die Inzidenz von Marginalzonenlymphomen (=MALT Lymphom) und von Schilddrüsenkarzinomen, insbesondere diejenige von papillären Karzinomen, ist bei Hashimoto-Thyreoiditis deutlich erhöht. 

Diagnostik:
Ein erhöhtes TSH und ein tiefes freies T4 bestätigen die Diagnose eines primären Hypothyreoidismus. Am häufigsten sind Antikörper gegen Schilddrüsen-Peroxidase (anti-TPO, 70-90%) und gegen Thyreoglobulin (anti-Tg, 40-70%) nachweisbar. Seltener sind Antikörper, welche den TSH Rezeptor blockieren. 10 bis 15% der Patienten haben keine Antikörper! Für die endgültige histologische Diagnose sollte der klinische Antikörperstatus bekannt sein (auf dem Biopsieanmeldezettel vermerken). Die Diagnose wird histologisch gestellt. 

Therapie:
 Eine kausale Therapie ist nicht möglich. Therapie der Wahl ist eine meist lebenslängliche Substitution mit Schilddrüsenhormon. Eine Thyreoidektomie ist indiziert bei einer grossen Struma, die Drucksymptome hervorruft oder kosmetisch stört und bei Schilddrüsenkarzinomen. Schilddrüsenlymphome sprechen gut auf eine Radiotherapie an. 
Morphologie
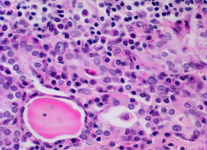
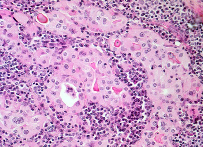
Morphologische Befunde: 
  • Leicht fibrosiertes, knotiges mikrofollikuläres Schilddrüsenparenchym. 
  • Dichtes lymphoplasmazelluläres Entzündungsinfiltrat mit Sekundärfollikeln. 
  • Herdförmige entzündliche Zerstörung des Follikelepithels. 
  • Follikelepithel mit reichlich feingranulärem Zytoplasma (= oxyphile syn. onkozytäre Epitheltransformation) und reaktiven Kernatypien (einzelne vergrösserte hyperchromatische Kerne). Das sollte der Kliniker dem Pathologen mitteilen: 
  • Schilddrüsenfunktion. 
  • Autoantikörper. 
  • Vorbehandlung. 
  • Dauer der Erkrankung. 
Makroskopie
Virtuelles Präparat
Befund
Pathologischer Befund
Normalbefund
Datum
Ersteintrag: 17.03.2019
Update: 21.01.2020