Wichtiger Sicherheitshinweis: Pathorama wurde zwischen dem 26. und 27. Dezember 2025 angegriffen. Falls Sie die Website in diesem Zeitraum besucht haben, lesen Sie bitte die wichtigen Informationen hier:
Zur Information

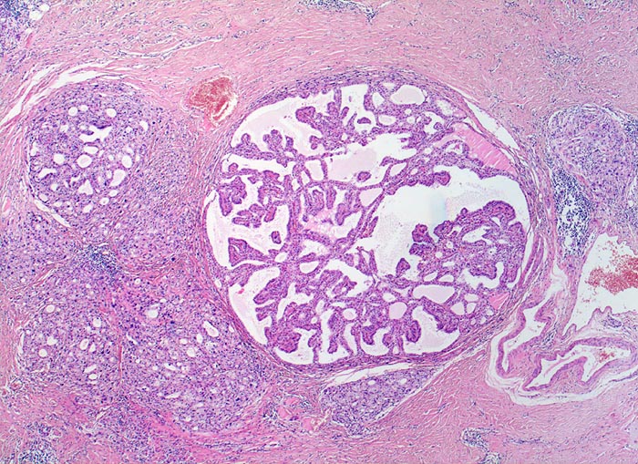
PathoPic – image database / PathoPic ID 3796 - Hashimoto Thyreoiditis mit Resten eines Morbus Basedow

de
Diagnose
Hashimoto Thyreoiditis mit Resten eines Morbus Basedow
Diagnose Gruppe
Systemerkrankung/Immunpathologie
Topographie
Schilddrüse
Topographie Gruppe
Endokrinium
Beschreibung
Ausgeprägte Vernarbung des Parenchyms mit herdförmigem chronischem Entzündungsinfiltrat. Kleintubuläre und solide Parenchymanteile, sowie kleine kolloidfreie Follikel. Ausserdem ein Regeneratknoten mit pseudopapillären Formationen.
Klinik
Vor 2 Jahren beidseitige Strumektomie. Exophthalmus und Myxödeme der Unterschenkel.
Kommentar
Gelegentlich kann eine Basedow-Hyperthyreose in eine Struma lymphomatosa Hashimoto mit Hypothyreose übergehen (sog. Hashitoxikose), was die z.T. fließenden Übergänge zwischen den einzelnen Formen der Immunthyreopathien verdeutlicht.
Bilder Typ
Histologie
Vergrösserung
200
Alter
30
Geschlecht
unbekannt
Datum
Ersteintrag: 31.12.2001