Wichtiger Sicherheitshinweis: Pathorama wurde zwischen dem 26. und 27. Dezember 2025 angegriffen. Falls Sie die Website in diesem Zeitraum besucht haben, lesen Sie bitte die wichtigen Informationen hier:
Zur Information

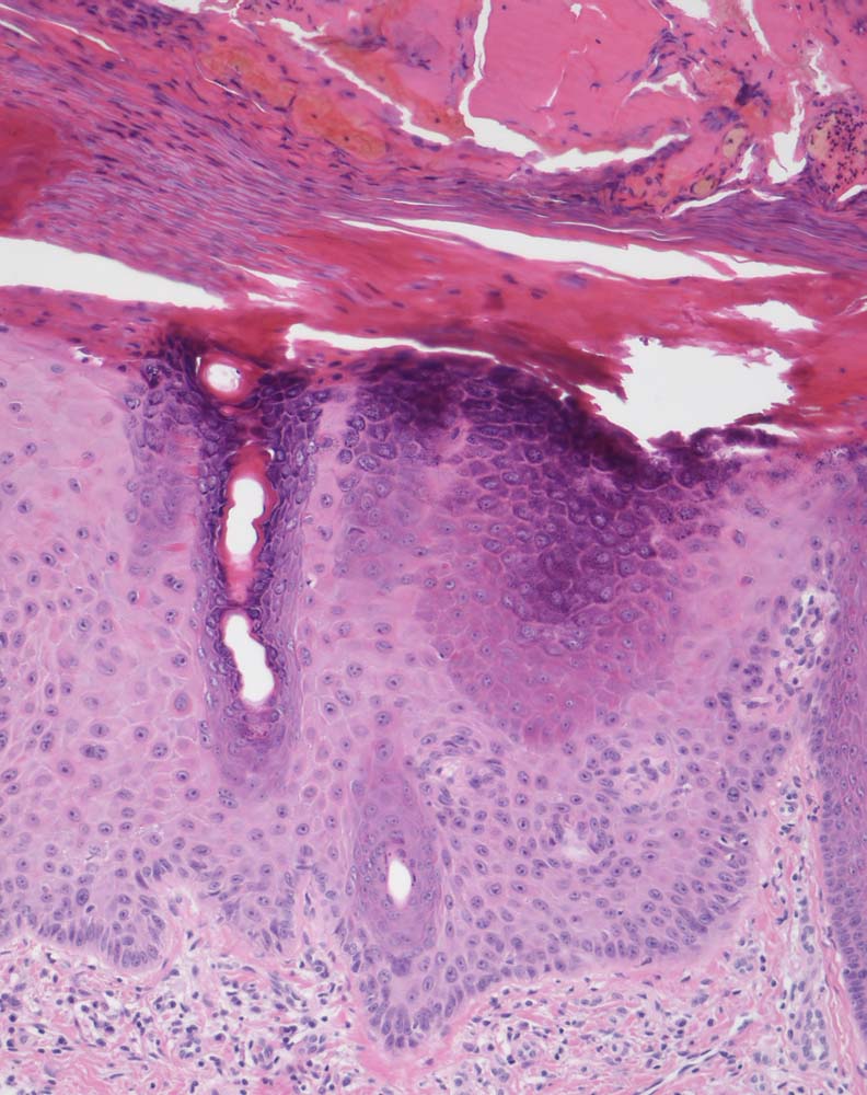
PathoPic – image database / PathoPic ID 9307 - Solare Präkanzerose (Keratose) hyperkeratotischer Typ

de
Diagnose
Solare Präkanzerose (Keratose) hyperkeratotischer Typ
Diagnose Gruppe
Präneoplasie/ Atypie/ Dignität?
Topographie
Haut, Hand palmar, Finger
Topographie Gruppe
Haut
Beschreibung
Hyper-parakeratotisch verhornende akanthotisch verbreiterte Epidermis mit Serokruste nach mechanischer Irritation. Abblassung und Atypien des Plattenepithels (vergrösserte hyperchromatische Kerne) in den basalen Abschnitten. Die Hautadnexe sind von den dyplastischen Veränderungen ausgespart.
Klinik
Basalzellkarzinom rechtes Daumensattelgelenk.
Bilder Typ
Histologie
Vergrösserung
100
Alter
86
Geschlecht
unbekannt
Datum
Ersteintrag: 21.06.2006
Update: 06.05.2009