Wichtiger Sicherheitshinweis:
Pathorama wurde zwischen dem
26. und 27. Dezember 2025
angegriffen. Falls Sie die Website in diesem Zeitraum besucht haben, lesen Sie bitte die wichtigen Informationen hier:
Zur Information
Pathopic
HiPaKu
ZyPaKu
Projektinfos
PathoPic - Projekt- und Copyright-Info
About
Pathopic
HiPaKu
ZyPaKu
PathoPic – image database
/
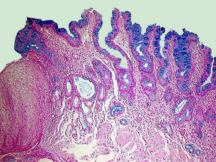
PathoPic ID 9 - Barrett Schleimhaut ohne intraepitheliale Neoplasie
de
Diagnose
Barrett Schleimhaut ohne intraepitheliale Neoplasie
Diagnose Gruppe
Metaplasie / Heterotopie
Topographie
Oesophagogastrischer Uebergang
Topographie Gruppe
Oesophagus, Magen
Beschreibung
Zwischen erhaltenen Inseln normaler Ösophagusschleimhaut findet sich spezialisiertes metaplastisches Epithel mit alcianblauen Becherzellen.
Klinik
Endobrachyösophagus
Bilder Typ
Histologie
Alter
66
Geschlecht
männlich
Datum
Ersteintrag: 23.10.2001
CPS
·
©
2025 Institut für Pathologie Basel
/
Dr. med. Katharina Glatz-Krieger
.
·
v2.2