Wichtiger Sicherheitshinweis: Pathorama wurde zwischen dem 26. und 27. Dezember 2025 angegriffen. Falls Sie die Website in diesem Zeitraum besucht haben, lesen Sie bitte die wichtigen Informationen hier:
Zur Information

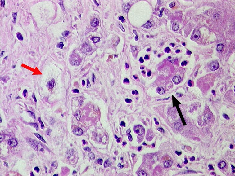
PathoPic – image database / PathoPic ID 880 - alkoholische Steatohepatitis

de
Diagnose
alkoholische Steatohepatitis
Diagnose Gruppe
Therapiefolgen
Topographie
Leber
Topographie Gruppe
Leber, Gallenwege, Pankreas
Beschreibung
Mehrere Hepatozyten enthalten wurstförmige eosinophile Mallory-Denk Körperchen im Zytoplasma. Neutrophile Granulozyten reihen sich satellitenartig um einzelne Hepatozyten mit Mallory-Denk Körperchen. Ein Teil der Leberzellen ist hydropisch geschwollen und verfettet.
Klinik
Aethylabusus.
Bilder Typ
Histologie
Alter
36
Geschlecht
unbekannt
Datum
Ersteintrag: 22.11.2001
Update: 06.02.2009