Wichtiger Sicherheitshinweis: Pathorama wurde zwischen dem 26. und 27. Dezember 2025 angegriffen. Falls Sie die Website in diesem Zeitraum besucht haben, lesen Sie bitte die wichtigen Informationen hier:
Zur Information

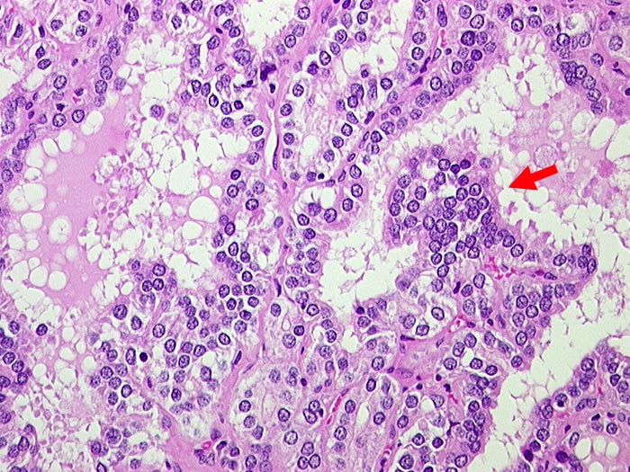
PathoPic – image database / PathoPic ID 836 - Morbus Basedow: Sanderson Polster

de
Diagnose
Morbus Basedow: Sanderson Polster
Diagnose Gruppe
organspezifische Erkrankung
Topographie
Schilddrüse
Topographie Gruppe
Endokrinium
Beschreibung
Follikellumina gefüllt mit wenig hellem Kolloid. Grosse Resorptionsvakuolen. Epithelproliferationen wölben sich in das Follikellumen vor ( Sanderson-Polster).
Zusatzbefund
Makroskopisch diffus vergrösserte Schilddrüse mit auffallend hellem homogenem mittellobuliertem Parenchym.
Klinik
Morbus Basedow.
Bilder Typ
Histologie
Alter
41
Geschlecht
unbekannt
Datum
Ersteintrag: 21.11.2001