Wichtiger Sicherheitshinweis: Pathorama wurde zwischen dem 26. und 27. Dezember 2025 angegriffen. Falls Sie die Website in diesem Zeitraum besucht haben, lesen Sie bitte die wichtigen Informationen hier:
Zur Information

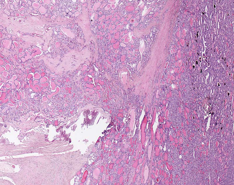
PathoPic – image database / PathoPic ID 8286 - Grob invasives follikuläres Schilddrüsenkarzinom

de
Diagnose
Grob invasives follikuläres Schilddrüsenkarzinom
Diagnose Gruppe
maligner Tumor
Topographie
Schilddrüse
Topographie Gruppe
Endokrinium
Beschreibung
Der follikuläre Tumor durchbricht die dicke bindegewebige Kapsel und infiltriert breitflächig das angrenzende Gewebe (links im Bild).
Zusatzbefund
Kapseldurchbrüche mit ausgedehnter Invasion des benachbarten Gewebes fanden sich an zahlreichen Stellen. Somit handelt es sich um ein grob invasives follikuläres Karzinom.
Klinik
Follikuläre Neoplasie der Schilddrüse
Bilder Typ
Histologie
Vergrösserung
25
Alter
70
Geschlecht
unbekannt
Datum
Ersteintrag: 28.03.2005
Update: 14.09.2005